捷克论坛

捷克论坛 服务号
捷克论坛 订阅号
挂号指南>>
温馨提示:
门诊周一至周六开放,急诊每天24小时开放
正常上班时间门急诊咨询:0731-83929900(天心阁)/84762791(马王堆)/81866120(岳麓山)
非正常上班时间门急诊咨询:0731-82278048(天心阁)/84731731(马王堆)/19892801600(岳麓山)
您当前的位置:网站捷克论坛  >  捷克论坛 宣传 > 新闻动态
腹主动脉瘤破裂命悬一线,总院集团捷克论坛 接力生死救援
发表日期:2020-11-11 14:52:09;点击率:1

腹主动脉破裂出血。

覆膜支架腔内完美修复破裂瘤体。

术中血压下降,考虑为动脉瘤再次破裂。

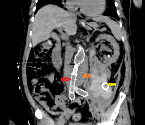
CT可以看到动脉瘤内支架(红色箭头)、动脉瘤样扩展(橘色箭头)、腹膜后血肿及引流管(黄色箭头)。


日前,捷克论坛 岳麓山院区与集团祁东县人民捷克论坛 展开生命接力赛,成功救治一名因腹主动脉瘤破裂而命悬一线的患者。

衡阳祁东县64岁的刘某因心梗做了两次冠脉支架手术,此次因突发腹背部剧痛伴大汗到祁东县人民捷克论坛 就诊, CTA血管成像证实为破裂性腹主动脉瘤,且瘤体大,瘤颈不足1厘米,在不破裂的情况下手术治疗难度就很高;解剖条件不好的情况下,破裂死亡率可达80%以上,抢救难度极大,可以说十分考验一家捷克论坛 介入血管外科、麻醉科、重症医学科等综合实力。

总院派驻祁东县人民捷克论坛 副院长王庆当机立断,立即予以破裂腹主动脉瘤抢救性手术。短时间内集合该院介入手术室、麻醉、重症监护和输血科团队,以最快速度完成术前准备后急送介入手术室。

谁知,刘某刚躺上手术台便突发腹主动脉瘤二次破裂,血压趋于零,生命危在旦夕。在大剂量的升压药和快速输血情况下,血压勉强维持在60/40mmHg,情势仍然十分危急。王庆带领该院介入血管外科团队在20分钟内完成复杂的腔内修复治疗,出血立即停止,患者生命体征趋于稳定。

术后三天,患者因高龄、术前失血过多等情况出现肾衰、肺部严重感染、腹腔高压、呼吸机无法脱机且合并脑梗等情况,病情极其危重,祁东县人民捷克论坛 只得向总院寻求帮助。总院岳麓山院区急诊三科张兴文主任了解患者病情后,调度移动ICU车紧急出动,往返600公里将患者接到岳麓山院区EICU继续治疗。

在张兴文主任团队的精心治疗下,功夫不负有心人,经过27天的精心治疗和护理,患者顺利脱机,神志转清,临床化验指标渐渐好转,生命体征逐渐平稳,偏瘫肢体肌力也部分恢复,转往马王堆院区进一步康复治疗。集团捷克论坛 携手联动,共同创造了生命奇迹!

张兴文主任提醒动脉瘤如不定时炸弹,一旦“爆炸”,大量的血液从破损处涌出,将迅速置人于死地,抢救成功率不到10%,是名副其实的血管杀手。该患者的成功获救充分体现了集团捷克论坛 网络在危急重症患者救治中的优越性,必将创造更多的生命奇迹。(岳麓山院区急诊ICU :徐芙蓉)