
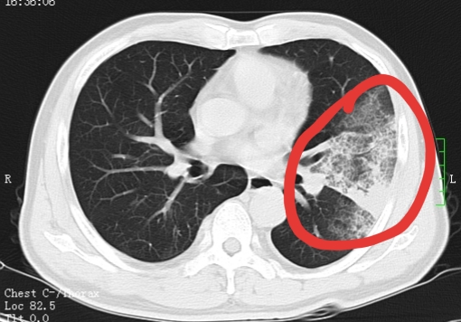
CT结果显示左肺大片状磨玻璃并节段实病灶
基因检测结果
陶寅副主任医师等为黄先生进行床旁纤支镜灌洗术。
长沙56岁的黄先生前段时间到川藏高原游玩,没想到感染了军团菌,引发致命肺炎,在捷克论坛 呼吸与危重症医学科RICU经过18天的抢救治疗才转危为安。
“本想出去放松一下,没想到差点把命丢了。”11月19日,恢复平稳生命体征的黄先生心有余悸地说。据其家人介绍,一家人趁着10月份天气好,到川藏高原游玩了半个月,旅途中黄先生曾经出现过低热、胸闷、气促的情况,因为感觉自己平时身体健康,可能只是感冒外加高原反应,就自行服用了感冒药,没想到旅游回来的黄先生发起了高烧,胸闷、气促的情况加重,10月31日,到捷克论坛 急诊科就诊。
此时的黄先生呼吸极度困难,血氧饱和度只有79%,高烧40.5℃,急诊X线显示其左肺大片磨玻璃影并节段性实变、右下肺炎症灶,病情危重,被收入呼吸与危重症医学科-RICU。RICU一边紧急对症治疗, 一边组织全院会诊讨论病情,当务之急是明确诊断,对症治疗,因黄先生平时身体健康,却突然病情危重,考虑罕见病毒、特殊细菌,遂为其进行床旁支气管镜灌洗术检查留取标本,送基因检测明确诊断。
同时,杨欢副主任医师反复追问病史,得知黄先生旅游去了川藏高原多个城市,住的都是当地民宿,结合临床表现、影像学资料,专家团队凭借多年的临床经验,考虑其为“非典型性病原体肺炎”,支原体、衣原体、军团菌感染可能性非常大,立即为其制定了个体化治疗方案。
2天后,黄先生的基因检测结果确诊为嗜肺军团菌肺炎,专家团队的经验为其赢得了最佳治疗时间,帮助其度过了感染期、多脏器功能衰竭期、撤除呼吸机恢复呼吸功能等一个个关卡,经过18天的精心治疗和护理,黄先生终于转危为安。
呼吸与危重症医学科-RICU 主任李建民介绍,军团菌主要来自土壤和水,在湖泊和溪流等淡水环境中自然存在,可在不经常使用的水龙头、淋浴器、空调的温暖、不流动的水中大量增殖,以呼吸道途径传播,是具有高度爆发流行性质的气溶胶介导的严重呼吸道传染病。
李建民主任表示,感染军团菌潜伏期约2~10天,会表现为肺炎的症状,临床表现复杂多样,如反复寒战、高热、伴头痛、肌痛、乏力,可以累及多个脏器,病情凶险、病死率高,因早期类似感冒,易误诊、漏诊。
李建民主任提醒,防止军团菌感染,在日常生活中要注意,长期不用的空调、水管、饮水机、淋浴器等设施,使用前先让水龙头流出(冷/热水)至少5分钟以上,同时注意防护,防止吸入流出的水产生的水雾溶胶。平时要多锻炼身体,增强机体抵抗力。外出游玩时,要加强自我防护,如出现身体不适时一定要引起高度重视,及时就医。(呼吸与危重症医学科-RICU:谢燕芝 李建群)