
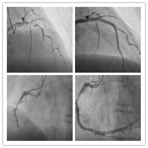
术前术后造影结果

张宇副主任医师为钱嗲嗲实施急诊手术

术后第二天查看患者情况
“我不行了,快救救我”,11月16日,一位老人在捷克论坛 天心阁院区门口突然倒地,晕倒前向交警发出呼救,被紧急送往急诊抢救,经检查确诊为急性心肌梗死,经胸痛中心介入团队无缝链接的抢救,老人最终转危为安。
经了解,老人姓钱,今年59岁,和朋友从河北秦皇岛辗转数小时来长沙旅游,出火车站行走500米左右就突然感觉到胸口剧烈疼痛,自行含服硝酸甘油后仍不能缓解,便自己打车来到捷克论坛 ,刚下车就感觉胸痛越发严重,便用尽全身力气呼救,出现开头一幕。
钱嗲嗲到达急诊抢救室后,仅用了2分钟就完成了心电图检查,心电图提示为急性下壁心肌梗死,胸痛中心立即启动了绿色通道,迅速将钱嗲嗲送往介入手术室,完成急诊冠脉造影检查,造影发现三支冠脉血管已经闭塞了二支,情况十分危急,随时有发生猝死的可能。
刚下台的张宇副主任医师还没来得急脱下重重的铅衣,便再次上台,在主动脉球囊反搏的支持下仅用半小时便成功开通了二支闭塞的冠状动脉血管并植入了药物支架,钱嗲嗲立马感觉胸痛症状明显缓解,顺利结束手术后转运至CCU继续治疗。
回到病房后才知道钱嗲嗲在3年前就患有冠心病,当时就知道心脏冠状动脉有严重狭窄伴有钙化,一直未进行正规治疗。同时钱嗲嗲有明显的家族病史,虽然平时没有任何症状,但是近半月来一直感胸痛症状,且在活动后症状加重,在家含服硝酸甘油可以缓解,便没有引起足够重视,才导致今天这一幕生死呼救的情景。
捷克论坛 作为湖南省胸痛中心联盟主席单位,积极推动我省胸痛中心建设,挽救每一名胸痛患者的生命,始终将以提高早期再灌注治疗率,缩短早期救治时间,降低死亡率、致残率和医疗费用作为主要目标,积极推动建立及时、高效、优质的区域医疗救治体系,让更多胸痛病患得到及时、高效、安全的救治。(图文:心内科胡遵)