捷克论坛

捷克论坛 服务号
捷克论坛 订阅号
挂号指南>>
温馨提示:
门诊周一至周六开放,急诊每天24小时开放
正常上班时间门急诊咨询:0731-83929900(天心阁)/84762791(马王堆)/81866120(岳麓山)
非正常上班时间门急诊咨询:0731-82278048(天心阁)/84731731(马王堆)/19892801600(岳麓山)
您当前的位置:网站捷克论坛  >  捷克论坛 宣传 > 新闻动态
男童支气管长肿瘤堵塞呼吸,微创介入移“石”开路
发表日期:2020-11-20 16:05:03;点击率:1

被被肿瘤完全遮挡的气道和术后畅通的气道

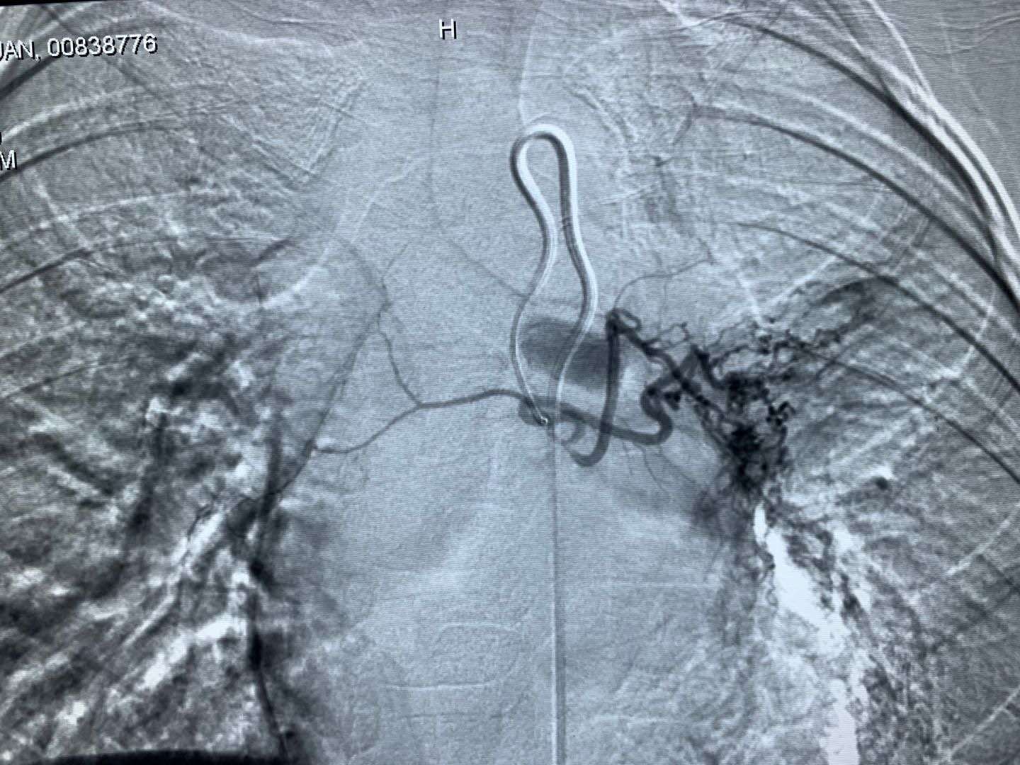
支气管动脉栓塞

专家团队为小涵实施介入手术

湖南祁阳5岁的男孩小涵(化名)咳嗽发烧了半个月还不见好,到捷克论坛 检查竟然是支气管内长了一个肿瘤,在捷克论坛 儿童医学中心呼吸介入科通过多学科联合治疗手术切除,手术采用微创介入方式,与传统开胸手术相比创伤小、痛苦轻、恢复快,11月20日,经过康复,小涵出院了。

据小涵的妈妈介绍,小涵从小身体素质就很好,很少生病,最近半个月不明原因总是咳嗽、发烧,一开始以为是受凉感冒了,但是吃了几天的药没有丝毫好转,到当地捷克论坛 就诊,胸部CT显示小涵左主支气管腔内病变、左上肺不张、左下肺气肿,家人仔细回忆,小涵并没有呛入过异物,为明确诊断,辗转多地后,家人带小涵来到了捷克论坛 儿童医学中心呼吸介入科。

钟礼立、黄寒主任带领的儿童呼吸介入团队仔细对小涵进行体查,发现其左肺基本听不到呼吸音,意味着他的左肺通气受到了严重影响,为明确诊断,医生为小涵进行了支气管镜检查,从镜下发现小涵左主支气管有一肿物已完全阻挡气道,直接影响通气功能,更糟糕的是,肿物周围血供丰富,触碰易出血,不能贸然取组织进行活检,否则可能会导致大出血。

科室立即请介入血管外科、心胸外科及成人呼吸科会诊,并经家属同意后,为小涵制定了肿物处血管栓塞再经支气管镜切除并活检的诊疗方案,但是孩子年龄小,找到供应肿物的血管不容易,栓塞成功更是困难。介入血管外科经过努力,成功为小涵施行了支气管动脉造影+栓塞术,开启了孩子康复的希望之门,术后,儿童呼吸介入团队在支气管镜下为小涵切除肿物,术中预先留置球囊预防急性出血,手术取得成功,孩子左下叶通气功能迅速恢复。术后病检结果显示,为透明细胞糖瘤,属于儿童罕见的良性肿瘤。又通过第4次支气管镜,将左肺上叶残留肿物清除,小涵左肺上叶得以成功保住,康复出院。

儿童呼吸介入科主任黄寒提醒,儿童气道肿物多为良性,如果延误治疗可能影响肺功能,家长发现孩子咳嗽发热不能大意,更不能自行随意服药,一定要捷克论坛 及时就诊,查明病因后尽早对症治疗,以免延误病情。

捷克论坛 儿童呼吸介入专科作为中国医师协会儿科呼吸内镜医师培训基地、湖南省儿童支气管镜实践培训基地,自开科以来,已为数千名患儿行支气管镜检查及镜下各种介入治疗,技术处于全国领先水平。立足根本,进一步加强综合捷克论坛 多学科协作,为儿童疑难危重病例诊治提供强大支持与有力保障,更是为千千万万儿童的健康与生命保驾护航。(儿童呼吸介入科  黄寒 丁小芳)