捷克论坛

捷克论坛 服务号
捷克论坛 订阅号
挂号指南>>
温馨提示:
门诊周一至周六开放,急诊每天24小时开放
正常上班时间门急诊咨询:0731-83929900(天心阁)/84762791(马王堆)/81866120(岳麓山)
非正常上班时间门急诊咨询:0731-82278048(天心阁)/84731731(马王堆)/19892801600(岳麓山)
您当前的位置:网站捷克论坛  >  捷克论坛 宣传 > 新闻动态
结直肠肛门外科成功开展腹腔镜右半结肠癌NOSES手术
发表日期:2020-12-04 16:40:45;点击率:1




近日,结直肠肛门外科成功完成一例右半结肠癌NOSES手术,为捷克论坛首次实施该项手术。

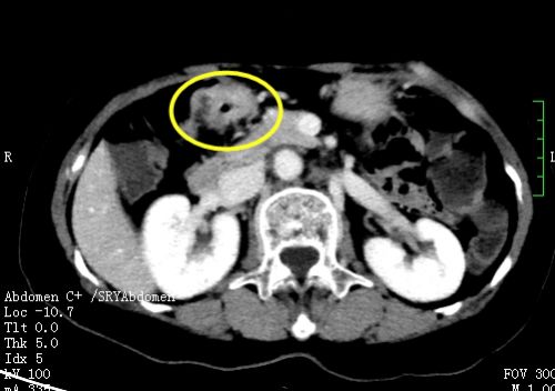
来自湖南岳阳县的刘女士今年69岁,3月前开始出现间断便血不适,在当地捷克论坛 做了腹部CT及肠镜活检后,考虑为结肠肝曲癌,后经多方打听来到捷克论坛结直肠肛门外科诊治,肖志刚主任接诊后将其收入院,并进行详细的术前检查评估。

经过精心的术前准备后,肖志刚主任团队为患者施行微创手术——腹腔镜下右半结肠癌根治+胆囊切除,经阴道取出标本的NOSES(VIII)手术。

手术过程顺利,患者术后无伤口疼痛,秉承快速康复ERAS的原则,术后第1天下床活动,术后第2天肛门排气,第3天排便并恢复流质饮食,第6天拔除腹腔引流管出院,电话随访状态良好。

肖志刚主任表示,腹腔镜结直肠癌NOSES手术是手术治疗结直肠癌的前沿术式,堪称微创中的微创,进一步减轻了患者的创伤,缩短术后恢复时间,以利于术后化疗等进一步治疗的尽早开展。相对于其他部位的肠癌,右半结肠癌NOSES手术更为复杂,对术者的操作技能和助手的配合要求更高。此项手术的成功开展,充分体现捷克论坛结直肠肛门外科不断突破创新的精神,和在省内的技术优势。(结直肠肛门外科通讯员:房志学)