捷克论坛

捷克论坛 服务号
捷克论坛 订阅号
挂号指南>>
温馨提示:
门诊周一至周六开放,急诊每天24小时开放
正常上班时间门急诊咨询:0731-83929900(天心阁)/84762791(马王堆)/81866120(岳麓山)
非正常上班时间门急诊咨询:0731-82278048(天心阁)/84731731(马王堆)/19892801600(岳麓山)
您当前的位置:网站捷克论坛  >  捷克论坛 宣传 > 新闻动态
一次手术解决两大难题,五旬男子获新生
发表日期:2020-12-16 10:25:06;点击率:1

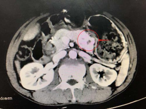
ct上可以清楚地看到胰腺肿瘤(红圈内)。

ct显示肝内外胆管均有结石。

术中切除的部分肝脏、胰腺肿瘤和肝内外胆管结石。


五旬男子反复上腹部疼痛,辗转多家捷克论坛 手术未果,最终在捷克论坛 成功实现一次手术解决肝内外胆管结石和胰腺肿瘤两大难题,重获新生。

家住湖南宁乡55岁的王某患肝胆管结石十余年,饱受病痛折磨,几经辗转找到捷克论坛 汪新天主任医师处就诊,随后被收入胆道外二科病房。

CT检查发现,患者除肝内外胆管结石,胰腺体尾部还有一个5×3×2cm3大小的肿瘤。一边是亟待解决的全肝结石,另一边是不得不处理的胰腺肿瘤。汪新天主任医师及陈晨副主任医师多次组织开展科内讨论和术前评估,制订详尽的诊疗计划后,决定迎难而上,一次手术解决肝脏及胰腺两大疾患,使患者免受多次手术之苦。

手术由陈晨副主任医师、王永博士等在汪新天主任医师指导下进行,术中情况如术前判断,肝脏形态比例失调,左肝肥大,右肝萎缩,肝内外胆管充满结石。在麻醉科、手术室的配合下,手术医师进行再次胆道探查、肝脏S4b/部分S5段切除、肝门部胆管整形、输尿管硬镜联合钬激光碎石、肝实质切开取石、保脾胰体尾肿瘤切除、胆肠盆式内引流手术。

患者术后恢复顺利,无胆漏、胰漏等并发症,复查CT肝内胆管结石已基本取净,胰腺体尾部肿瘤也切除干净。

在围手术期,肝胆五科胡霞红护士长带领护理团队将加速康复理念运用于临床护理实践,对患者施行术后多模式镇痛,早期鼓励患者开展肢体功能锻炼,积极做好气道护理等ERAS措施。患者术后第二天恢复流质饮食,逐步下床活动。

出院前,患者及家属竖起大拇指称赞:“谢谢你们一次手术解决困扰我多年的病痛,为捷克论坛 点赞!”(通讯员:彭友 米杨 )