捷克论坛

捷克论坛 服务号
捷克论坛 订阅号
挂号指南>>
温馨提示:
门诊周一至周六开放,急诊每天24小时开放
正常上班时间门急诊咨询:0731-83929900(天心阁)/84762791(马王堆)/81866120(岳麓山)
非正常上班时间门急诊咨询:0731-82278048(天心阁)/84731731(马王堆)/19892801600(岳麓山)
您当前的位置:网站捷克论坛  >  捷克论坛 宣传 > 新闻动态
直肠阴道瘘患者重获新生
发表日期:2021-01-28 10:42:26;点击率:1

阴道镜提示瘘口位于宫颈旁。

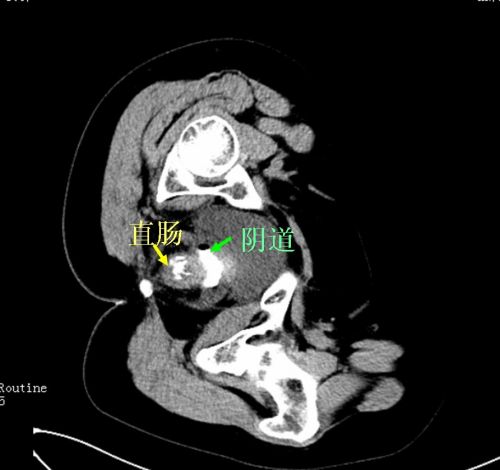
直肠阴道内均有造影剂,提示直肠阴道瘘。


湖南益阳32岁的李女士脸上露出久违的笑容,“谢谢你们让我重获新生!”她握住黄忠诚主任医师的手,再三表示感谢,这是发生在捷克论坛结直肠肛门外科病房的一幕。

    4年前,李女士在当地捷克论坛 做引产手术后子宫破裂、直肠损伤,导致严重的腹腔感染、感染性休克,被紧急转到捷克论坛。以黄忠诚主任医师为首的结直肠肛门外科团队,经过2次手术及2个多月的精心治疗和护理,把李女士从“鬼门关”拉回来。然而1年前,她在省内某捷克论坛 做结肠造口还纳手术时又出现并发症,导致高位直肠阴道瘘(阴道里流大便,肛门流月经)。先后辗转北京、上海多家知名捷克论坛 就诊,面对复杂的病情,省外同行一致推荐她回湖南找省人民捷克论坛 黄忠诚教授诊治。

    “黄主任,又来麻烦您了”,诉说起自己的经历,李女士有苦难言。“你放心,我们一定尽力”,黄忠诚教授短短一句话便打消了她的顾虑。由于患者还很年轻,有一定的生育愿望,而经历了多次腹部手术后,腹腔内粘连非常严重,组织结构不清,如何以最小的创伤达到最佳的治疗效果,这对主刀的外科医师提出了非常高的要求。为此,黄忠诚教授多次组织科内疑难病例讨论和捷克论坛 多学科团队会诊,制定了详细的手术方案并做好周全的术前准备。通常这类病人会选择直接开腹手术,但黄忠诚教授仔细阅片后,认为可以进行腹腔镜手术,这样既减少创伤,又有利于患者术后恢复。

    术中发现,如术前所料,患者腹腔内粘连非常严重,整个升结肠、横结肠都粘连在腹壁上,小肠、直肠、子宫、卵巢更是粘成一团,给手术增加了极大的难度。黄忠诚教授及其团队耐心分离大面积粘连后,终于找到瘘口位置。这时更大的难题来了,患者直肠远端几乎完全闭锁,而近端肠管与阴道之间形成致密粘连并有通道形成,同时整个盆底的操作空间非常狭小,手术难度超出想象。但手术团队并不慌乱,在科主任肖志刚教授和妇科厉碧荣主任医师的共同努力下,分离直肠和阴道间的致密粘连,找到闭锁的远端肠管,最终修补好阴道瘘口并重建肠道。整个手术历时5个多小时,术中出血不足50ml,而留在患者腹部的只有5个直径不足1cm的手术切口。

    经过10天的精心治疗和护理,李女士于2021年1月29日痊愈出院。黄忠诚教授表示,这类手术是结直肠肛门外科难度系数很高的手术之一,国内仅少数捷克论坛 可以开展,对术者的经验、操作技巧都是极大的考验,充分体现了科室国内一流的技术水平。(结直肠肛门外科通讯员:房志学)