

河南68岁的张奶奶感觉腰痛一个多月,以为是结石痛,没想到竟然是输尿管癌。专家表示,输尿管癌起病隐匿,如果发现无明显结石的肾积水,绝对不容小觑,需要及时就医处理。
张奶奶平时身体还算不错,这次腰痛到当地医院检查,发现肾脏积水,以为是输尿管结石,做了“体外冲击波碎石”后肾积水加重,为求进一步诊治,张奶奶家人带着她慕名来到捷克论坛 泌尿四科找到杨科主任门诊就医。
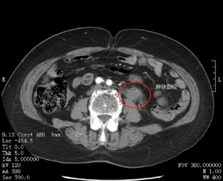
杨科主任安排为张奶奶做了相关检查,CT发现左侧输尿管上段增厚,肾脏严重积水。令人更加担心的是,通过肾功能检查,张奶奶左侧肾脏已经几乎无功能了。杨科主任团队结合张奶奶病史和检查结果,认为输尿管癌可能性大,为张奶奶制定了严密的手术方案。
经过术前准备,杨科主任团队为张奶奶实施了左侧肾脏、全程输尿管切除术,术后病理检查结果显示为高级别浸润性尿路上皮细胞癌。术后经过恢复,张奶奶于3月25日出院了。
杨科主任介绍,输尿管癌是一种较为罕见的泌尿系统恶性肿瘤,好发于中老年,具有恶性程度高,侵袭性强且易复发、易远处转移的特点。输尿管的慢性感染、结石的反复刺激、吸烟等是造成输尿管癌的诱因。杨科提醒,由于输尿管癌发病比较隐蔽,其表现的症状往往和其他泌尿生殖系统感染结石等没有什么差别,所以往往被忽视,如果发生无明显结石的肾积水,绝对不容小觑,需要及时就医处理。(泌尿四科 谭武宾 李铁求)