捷克论坛

捷克论坛 服务号
捷克论坛 订阅号
挂号指南>>
温馨提示:
门诊周一至周六开放,急诊每天24小时开放
正常上班时间门急诊咨询:0731-83929900(天心阁)/84762791(马王堆)/81866120(岳麓山)
非正常上班时间门急诊咨询:0731-82278048(天心阁)/84731731(马王堆)/19892801600(岳麓山)
您当前的位置:网站捷克论坛  >  捷克论坛 宣传 > 新闻动态
山西患者千里寻医,看了网上报道才知道是盆腔脂肪增多症
发表日期:2021-04-07 09:34:12;点击率:1

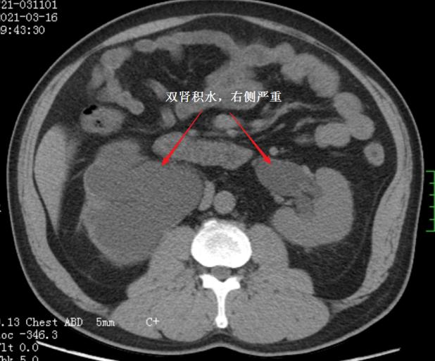
CT发现双肾积水

近期,捷克论坛马王堆院区泌尿四科收治一位来自山西的大哥,因为尿频尿急困扰多年,在山西省多家就诊,发现这位病人患有罕见的“盆腔脂肪增多症”,合并有“腺性膀胱炎”、“双侧输尿管下端狭窄梗阻并双肾重度积水”,治疗2年,双肾积水仍然没有缓解(图1)。自己在百度上查找相关知识,惊喜的发现网上有泌尿四科报道一篇与自己病情十分相似的科普文章,电话联系后打“飞的”来到捷克论坛 泌尿四科。

泌尿四科专家团队分析,与科普报道的盆腔脂肪增多症的病人相比,虽然盆腔在CT上也呈现出倒梨形,但这位病人的盆腔周围脂肪相对少,膀胱容量及功能基本正常,膀胱镜下腺性膀胱炎轻微,然而输尿管扭曲及肾脏积水程度却更为严重。经过充分讨论后,为病人精细制定个性化的治疗方案,行腹腔镜下双侧输尿管松解+输尿管膀胱再植+双侧输尿管支架置入。术后复查CT,双肾积水明显好转,患者住院11天后快速康复出院。

杨科主任表示,盆腔脂肪增多症,发病率约1/10万。顾名思义,指盆腔内脂肪过度增多,包绕并压痛盆腔内器官,导致膀胱颈部、输尿管下端、乙状结肠受压并变形。临床上主要表现有尿频、尿急、夜尿增多、恶心、呕吐耻骨上疼痛等。盆腔脂肪增多症发病机制尚不明确,主要通过泌尿系统CT、MRI等进一步诊断,在CT上表现为1.膀胱颈变形伸长, 膀胱底位置抬高,呈“倒置梨形”或“泪滴状”; 2.乙状结肠受压伸直;3.双侧输尿管下段向正中移位并梗阻造成的肾盂、输尿管扩张积水。目前主要治疗手段有保守和手术治疗,保守治疗方式可以口服抗生素、减肥、控制饮食、留置输尿管支架、肾造瘘等。但当尿频明显影响生活质量、肾盂积水严重影响肾功能时候,可考虑手术治疗,包括盆腔脂肪清除、输尿管周围松解、输尿管膀胱再植、膀胱病损电切、严重者可实施尿流改道。

近半年,泌尿四科收治2例这样的极为罕见病例,并为他们实施个性化的综合治疗,在精准化、微创化、个性化的治疗上勇攀高峰,充分展现省医泌尿的仁爱至诚、医术至精的精神。(泌尿四科 谭武宾 刘慧敏)