捷克论坛

捷克论坛 服务号
捷克论坛 订阅号
挂号指南>>
温馨提示:
门诊周一至周六开放,急诊每天24小时开放
正常上班时间门急诊咨询:0731-83929900(天心阁)/84762791(马王堆)/81866120(岳麓山)
非正常上班时间门急诊咨询:0731-82278048(天心阁)/84731731(马王堆)/19892801600(岳麓山)
您当前的位置:网站捷克论坛  >  捷克论坛 宣传 > 新闻动态
痛痛痛!“姨妈痛”打杜冷丁都不管用,机器人手术让210斤“胖妈”不再受折磨
发表日期:2021-04-28 08:49:26;点击率:1

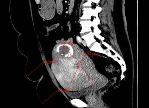
ct显示:子宫内多发肿瘤,子宫增大至16.0×15.0×11.5cm,皮下脂肪层厚达6cm。

妇科黄薇主任为患者施行达芬奇机器人腹腔镜下子宫切除术。

腹部厚厚的脂肪,给手术带来不小难度。

黄薇主任等查看患者术后恢复情况。

    湖南邵阳42岁的刘女士自从20年前生完孩子后,体重就急剧增长,多次尝试减肥却收效甚微,体重始终维持在105公斤以上。然而,困扰她的除了居高不下的体重,还有日益加重的痛经。

大约从2007年起,刘女士开始出现痛经症状,去捷克论坛 检查发现是子宫腺肌瘤作怪。开始并没太在意,每个月的“那几天”吃点止痛药就能缓解。但随着痛经症状越来越严重和经期延长,刘女士一个月有10多天要依赖大量止痛药才能“捱过去”;近两年,更是连止痛药都无法缓解她的“姨妈痛”,感觉生不如死。

2年前,刘女士去当地捷克论坛 检查,发现子宫已经长到柚子大小,宫内还有多发腺肌瘤和肌瘤,最大的瘤子直径达10cm,医生建议手术切除子宫。但因子宫太大需做开腹手术,刘女士担心自己腹部脂肪太厚,手术切口难以愈合,没敢尝试。

为寻求其他治疗方法,刘女士先后到多家捷克论坛 就诊,接受了多种保守疗法,但效果都不佳,只得每个月靠打杜冷丁止痛。

长期严重的痛经严重影响了刘女士的生活,20214月,不堪忍受的她来到捷克论坛 妇科门诊就诊,随即被收入院。

妇科主任黄薇及陈灵副主任医师等检查发现,刘女士的子宫大得就像怀胎六月,而且质地很硬,诊断为子宫腺肌瘤及腺肌症。考虑到患者肥胖及对开腹手术的担忧,专家团队为其制定了机器人腹腔镜下子宫切除的手术方案。

“子宫大小超过妊娠四个月后,盆腔被增大的子宫占据,手术器械无法到达操作部位,而且手术视野暴露不清,如何把巨大的子宫从狭小的阴道取出也是难题”,黄薇主任表示,刘女士这种情况被认为是常规腹腔镜手术的相对禁忌;而她因为肥胖、腹部脂肪层厚、子宫巨大,如果做开腹手术,腹部切口将长达20cm,术后伤口疼痛、脂肪层液化、伤口愈合不良的风险也很大。而机器人腹腔镜手术的视野扩大了20倍,术野清晰,保证了手术的精准性;机械手臂可在狭窄空间灵活操作,具有人手无法比拟的精确度;加上操作器械固定,减少了组织损伤及术后疼痛,缩短了住院时间,具有开腹手术及传统腹腔镜无法比拟的优势。

经过充分的术前评估及周密的术前准备,421日上午,黄薇主任、陈灵副主任医师等为刘女士施行机器人辅助腹腔镜下全子宫切除术。入腹后,巨大的子宫及瘤体充斥眼前,加上患者做过剖宫产,腹腔内组织粘连严重,手术难度升级。黄薇主任从容不迫,小心分离粘连组织,梳理盆腹腔组织结构,最终历时4个多小时完整切除子宫。

由于微创手术创伤小,刘女士术后恢复顺利,于427日康复出院。

“痛经通常是由子宫腺肌症、腺肌瘤或子宫内膜异位症引起”,黄薇提醒,女性一旦出现进行性加重的顽固痛经、月经量增多、经期延长、贫血、不孕等症状,应及时就医、尽早干预,以免延误最佳治疗时机。

文图:梁辉 周蓓