
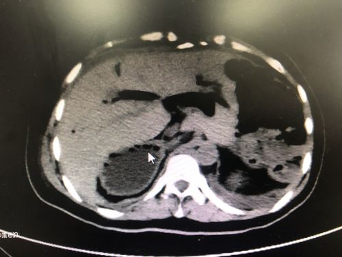
术前ct显示肝胆管多发结石。
ct显示患者有多个脾脏。(红圈内)

磁共振三维重建可见:脾脏、胃、十二指肠反位。
捷克论坛 肝胆胰脾专家团队为患者施行第五次胆道手术。
术后复查显示:无结石残留。
首席专家吴金术教授、护士长隆艳飞等查看患者术后情况。
出院前,送上锦旗感谢医护人员。
从小饱受肝胆管结石困扰,20多年做了4次手术仍反复发作,慕名来到捷克论坛 肝胆胰脾外科寻求第5次手术机会。术前检查意外发现,女子竟然有4个脾脏,而且脾脏、胃和十二指肠都长反了。这种情况非常罕见,令本就艰难的手术难上加难。首席专家吴金术教授带领捷克论坛 肝胆胰脾团队做好充足的术前讨论和准备后,为其成功施行手术,术后复查显示无结石残留。
35岁的张女士来自湖南湘潭,从10多岁开始就因右上腹疼痛被诊断为肝胆管结石,在14岁、19岁和27岁的时候先后接受了4次胆道手术。但疾病始终没能断根,每次手术后多则数年少则数月就会复发,就这样被病痛折磨了20多年。
2021年4月,张女士再次出现右上腹疼痛不适,在当地医院被确诊为“肝内胆管结石”,多家医院均表示病情复杂无法手术,患者于4月28日来到捷克论坛 寻求帮助,随即被收入胰脾外科病房。
入院后的CT检查发现,张女士不仅有“肝胆管结石并胆管炎”,而且脾脏分裂成4个;不仅如此,4个脾脏和胃、十二指肠都长反了位置——本应在腹腔左侧的脾脏和胃跑到右边,而原本应该在右侧的十二指肠则跑到了左边。
考虑到患者曾做过多次腹部手术且手术耗时长,预计腹腔粘连及炎症都比较严重;加之患者多脏器反位,解剖位置难以判断,令本就困难的手术难上加难。
为尽可能降低手术风险,首席专家吴金术教授、陈梅福教授及成伟主任组织胰脾外科团队多次开展术前讨论,并邀请放射科进行MDT会诊,对每个细节进行反复推敲,制定2种手术方案。为缓解患者及家属的焦虑、紧张情绪,护理团队组织专业人员为他们进行心理疏导,提高其战胜疾病的信心。
5月13日,在吴金术教授的指导下,由陈梅福教授、成伟主任医师主刀,蔡翊副主任医生等共同为患者施行全麻下“剖腹探查、第5次胆道探查、腹腔粘连松解、胆道镜探查+取石、肝门胆管整形、胆肠内引流术”。由于术前准备充分,手术过程顺利,预计12小时的手术仅用3小时便完成,术中出血仅50ml,术后复查显示“无结石残留”。
手术后,护士长隆艳飞带领护理团队严密观察患者情况,采取多项措施帮助其尽早康复。患者术后第3天排气、排便,第4天下床行走,伤口恢复良好,于5月24日出院。
“多脾综合征合并多脏器反位,还患有复杂的肝胆管结石,手术能够如此成功,国内外文献都没有类似报道”,成伟主任医师表示,此例手术的成功标志着捷克论坛 肝胆胰脾外科在多脾综合征、多脏器反位合并复杂肝胆管结石的手术治疗方面居世界领先水平。
【名词解释】
多脾综合征( polysplenia syndrome,PS) 是一组非常罕见的脾脏与其他多脏器联合发育畸形的综合征,常表现为多脾,并伴有内脏和心血管的发育畸形。其发生与胚胎时期发育异常密切相关,男性与女性发病率接近,但国内报道以女性发病率较多。大多数患者在婴幼儿期因并发严重的先天性心脏病而死亡,而成人患者常无明显临床症状,多因其他原因进行影像学检查时发现,且容易被影像科医生所忽视。该综合征的准确全面诊断,对无临床症状的成人尤其是要接受腹部手术治疗的患者具有重要意义。
文图:梁辉 蔡翊 隆艳飞