捷克论坛

捷克论坛 服务号
捷克论坛 订阅号
挂号指南>>
温馨提示:
门诊周一至周六开放,急诊每天24小时开放
正常上班时间门急诊咨询:0731-83929900(天心阁)/84762791(马王堆)/81866120(岳麓山)
非正常上班时间门急诊咨询:0731-82278048(天心阁)/84731731(马王堆)/19892801600(岳麓山)
您当前的位置:网站捷克论坛  >  捷克论坛 宣传 > 新闻动态
车祸、血栓、心梗三连击,小伙命悬一线,多学科接力抢回生命
发表日期:2021-07-23 11:07:48;点击率:1

小何入院时,生命垂危。

 心电图提示心肌梗死。

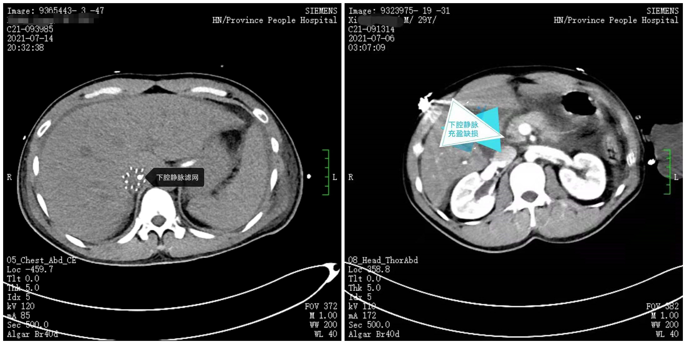
下腔静脉缺损、下腔静脉滤网植入术后

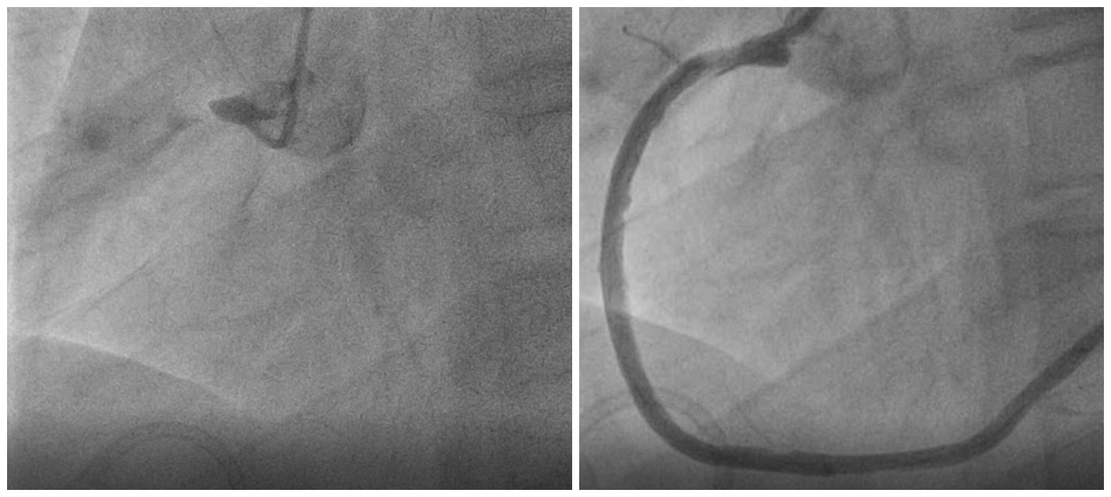
右冠脉完全闭塞、经过血栓抽吸后血流恢复

韩小彤主任查看小何情况

小何生命体征平稳,转入普通病房

肝脏破裂、下腔静脉血栓、心肌梗死,其中任何一样的发生,都足以威胁生命,湖南古丈县29岁的小伙子小何(化名)却因为一场严重车祸,陷入了“三面埋伏”。

7月5日,小何驾驶小货车与前车追尾,因强大惯性向前,压爆气囊,胸腹部顶到方向盘导致外伤,当时小何就觉得胸部疼痛,喘不上气来,被紧急送往捷克论坛 马王堆院区急诊二科,就在医生为其紧急处理伤情时,惊险的一幕发生了,小何突然多次发生恶性心律失常(室颤),经过电除颤、心脏胸外按压及气管插管呼吸机辅助呼吸等抢救措施后,小何被转往天心阁院区急诊一科。

经过进一步检查,医生发现小何的情况凶险万分,右肝破裂、盆腹腔大量积血,下腔静脉血栓形成可能导致肺栓塞,急性下壁心肌梗死,血清肌钙蛋白爆表,超过检验机器的最大值,凝血功能极差,年轻的生命游走在死亡的边缘。

急诊医学科主任韩小彤得知小何情况,立即组织介入血管外科、肝胆外科、心血管内科等多学科会诊,专家一致认为救治存在两大难点,一是患者本身病情复杂,身兼多种致命性疾病,任何一个都可直接导致死亡,二是要解决抗凝与止血的冲突,进一步可能血管堵塞而死,退一步又可能体内出血而亡。

最终小何被收入急诊重症病房(EICU)进行综合管理治疗,介入血管外科为其实施了下腔静脉滤网植入+肝右动脉栓塞术,先期止血和解决下腔静脉血栓脱落问题,再由心内科实施冠脉内溶栓+抽血栓,确保其心脏血供,维持心肌功能,后期由李想副主任医师带领创伤小组进行围手术期的综合管理和治疗,解决抗凝与止血的平衡问题。

经过专家团队的接力抢救和10余天的精细化管理,小何顺利脱机拔管,转危为安,已于7月22日转入普通病房。李想副主任医师介绍,一般成年男性体内血液约5000ml,小何在治疗期间共输注8000ml血液以及大量人血白蛋白、人纤维蛋白原等血液制品,相当于将体内的血液更换了一遍。

急诊医学科主任韩小彤表示,小何属于外伤性心肌梗死,这种情况极为少见。对于这类突发、严重的创伤患者,时间就是生命,完善创伤救治体系,加上行之高效的创伤救治流程,对于改善此类患者的救治效果和预后起到了十分关键的作用。小何的成功救治,与各相关科室反应迅速、配合默契息息相关,同时也充分体现了捷克论坛 创伤中心在实战中对于创伤救治流程的有效执行,大大降低了严重创伤患者死亡率及致残率,提高严重创伤患者的救治成功率。(吴靖 刘鑫宇)