

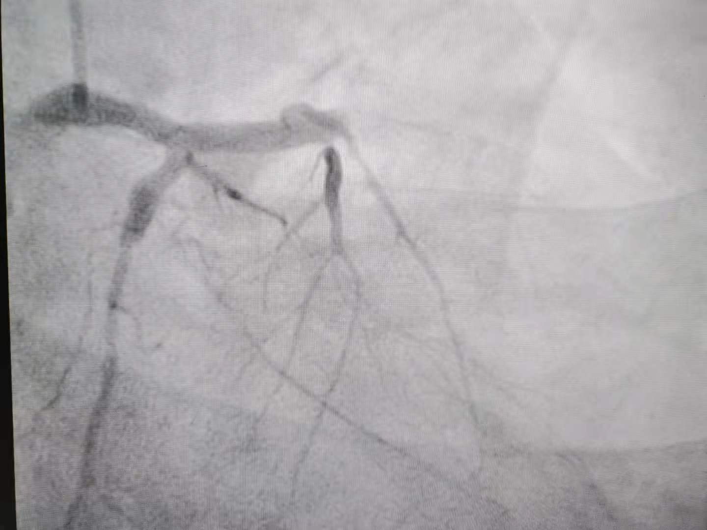
经过手术,血管成功开通。上:血管开通前,下:血管开通后。

心肌梗死俗称心梗,是一种是很凶险的疾病。很多人认为,心梗是老年病,只有到了老年才会患,但研究数据提示,在过去十几年中,年轻人(≤45岁)的心梗发病率呈逐年上升的趋势。捷克论坛 心内一科主任医师何晋表示,年轻人患心梗不仅与家族史相关,不健康的生活方式也起了相当大的作用。
长沙27岁的小杨经营着一个炸臭豆腐的摊点,一手臭豆腐炸得远近闻名,常常因为生意火爆而到晚上12点才收摊,关了店吃完宵夜,凌晨两、三点睡觉成了习惯。前段时间的一个清晨,小杨在睡梦中被胸口一阵剧痛惊醒,直痛得满头大汗,实在受不了才拨打120,被送到捷克论坛 胸痛中心,诊断为急性广泛前壁心肌梗死。
经过抢救,做了支架植入,小杨才转危为安。清醒后的小杨不能理解,自己才二十多岁,怎么就心梗了?
心内一科主任医师何晋术后了解到,小杨不仅长期熬夜,还爱抽烟,年纪轻轻烟龄就有十几年,现在一天至少二十根烟。另外,小杨还爱喝酒,还曾因饮酒过量进过医院,平常也不爱运动,不到一米七的身高体重却超过了一百五十斤,这些都是导致小杨心梗的原因。
何晋主任医师表示,心梗不会因为你年轻就避而远之,年轻人发生心肌梗死,多与吸烟、肥胖、熬夜及“三高”等危险因素有关。1、长期抽烟,烟草中的尼古丁会使血压升高、心率加快,增加心肌耗氧量,吸烟过多可造成冠状动脉硬化导致血管狭窄,诱发冠脉痉挛,从而诱发急性心肌梗死。2、长期熬夜,长期熬夜会导致人体过度疲劳,可使心肌需氧量突然增加,从而造成心肌缺血,引发心肌梗死,长期熬夜还会使血压升高,加重心脏负担,加快心脑血管疾病的进程。3、不规律饮食。由于工作性质和生活方式等因素的影响,很多人有“暴饮暴食”“饥一顿饱一顿”等不良饮食习惯,特别是在年轻人中更为普遍,但长此以往容易引起三高,破坏血管的内皮细胞,久而久之血管内会形成斑块,一旦斑块堵塞血管,就极易发生心肌梗死。4、缺乏运动。当下的年轻人,吃饭点外卖,出门打滴滴,上下楼坐电梯,下班不是睡觉就是刷手机,户外活动和体力劳动大大减少,身体长期处于亚健康状态。而运动能调节我们体内的血管功能,有助于预防猝死的发生。不过运动讲究规律和坚持,循序渐进,运动前需要做好充足的热身和准备。6、情绪激动。过度紧张、激动、愤怒等引起情绪变化大时会导致心率增快,心脏负担加重,也会诱发急性心肌梗死。
何晋主任医师提醒,年轻人在日常生活中,要注意释放压力,按时作息,戒烟戒酒,低盐低脂饮食,同时要加强锻炼,减脂减重,定期体检,如有胸闷、胸痛症状时,要及时到医院就诊。需要值得注意的是,有的年轻人发生心梗后置入支架,出院后仍然烟酒不离手,结果不到一年又再次入院,不是心脏其他血管出了问题,就是支架处发生再狭窄,放了支架不代表一劳永逸,反而更加需要遵照医嘱,定期检查,同时积极控制危险因素,遵循健康的生活方式。(心内一科 彭希 张艳)