捷克论坛

捷克论坛 服务号
捷克论坛 订阅号
挂号指南>>
温馨提示:
门诊周一至周六开放,急诊每天24小时开放
正常上班时间门急诊咨询:0731-83929900(天心阁)/84762791(马王堆)/81866120(岳麓山)
非正常上班时间门急诊咨询:0731-82278048(天心阁)/84731731(马王堆)/19892801600(岳麓山)
您当前的位置:网站捷克论坛  >  捷克论坛 宣传 > 新闻动态
睡觉时常被憋醒坐着才能入睡,脖子上长了30多年的“坨坨”作怪?
发表日期:2021-11-03 16:02:12;点击率:1

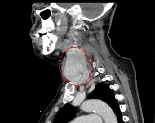
ct显示:左侧甲状腺肿瘤有成人拳头大小。

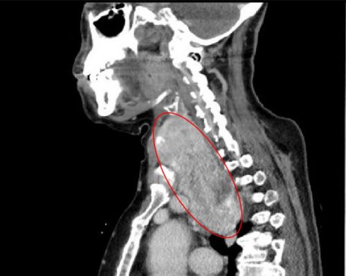
ct显示:巨大的右侧甲状腺肿瘤从颈部延伸至胸腔。

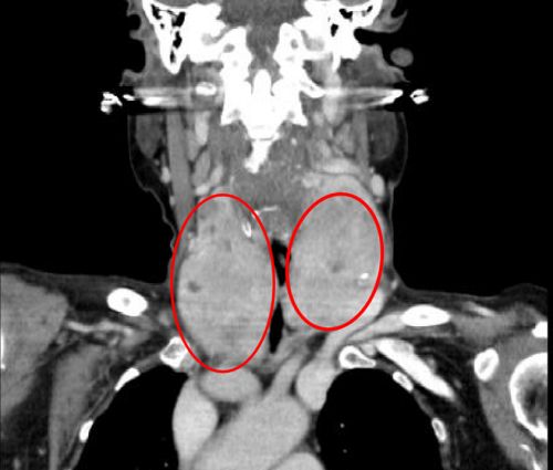
双侧巨大甲状腺肿瘤将气道挤压成一条细缝。

周建波主任医师为患者进行术前评估。

颈部肿块从外观上看已十分明显。

麻醉师为患者在清醒状态下进行插管。

耳鼻咽喉头颈外科肖旭平主任、周建波主任医师等为患者施行甲状腺肿块切除手术。

切下来的甲状腺肿块共计900克。

术后,耳鼻咽喉头颈外一科医护人员为患者进行医护一体化查房。



    湖南省益阳市桃江县72岁的刘奶奶,30多年前就发现自己左侧颈部长了一个鸡蛋大小的肿块,因为不痛不痒对生活没什么影响,就没去捷克论坛 检查。直到2021年9月,老人感冒后出现呼吸困难,走路时喘不上气,睡觉时常憋醒,严重时只能坐着入睡,在当地捷克论坛 被诊断为“甲状腺肿块”。因不愿意接受开胸手术,于2021年10月22日来到捷克论坛 耳鼻咽喉头颈外科周建波主任医师处就诊,随即被收入院。
    完善相关检查发现,老人左侧颈部有一个成人拳头大小的肿块,右侧颈部肿块更大、且向胸腔内生长。耳鼻咽喉头颈外科、呼吸内科、心血管内科、心胸外科、放射科、麻醉科、手术室等多学科专家讨论后一致认为,患者高龄且有冠心病等基础疾病,而且肿瘤巨大,手术难度和风险都很大。
    进行详细的术前讨论和周密的术前准备后,10月26日,肖旭平主任带领周建波主任医师等,在全麻下施行“甲状腺肿块切除手术”,分别切下70mm×60mm×50mm和60mm×60mm×60mm的2个肿块。术中快速病理切片结果显示:右侧肿块为甲状腺乳头状癌,左侧肿块为结节性甲状腺肿;接下来,在全麻内镜辅助下,切除延伸至胸腔内的50mm×40mm×35mm大小的甲状腺肿块,三个肿块共计重约900克。
    据主刀的肖旭平主任医师介绍,两个巨大的肿块“左右夹击”,导致颈段气管被压成了一条细缝,造成呼吸困难,术中极易出现窒息,给麻醉插管带来很大的风险。手术团队在精细操作的同时,巧妙利用肌肉间隙入路,既顺利切除巨大肿瘤,又减轻了创伤、缩短住院时间、有助于快速康复。
    经过一周的术后治疗和护理,患者于11月3日康复出院。
    肖旭平表示,结节性甲状腺肿是一种甲状腺良性疾病,但少数患者可出现瘤内出血、癌变,肿块增大可能压迫气管或食管。因此,一旦发现甲状腺肿块,一定要尽早诊断,密切随访,切不可因为不痛不痒就大意。
    他提醒,有以下情形须高度警惕甲状腺癌,尽早进行筛查:
    1.童年期有头颈部放射线照射史或放射性尘埃接触史;
    2.有全身放射治疗史;
    3.有分化型甲状腺癌、甲状腺髓样癌或多发性内分泌腺瘤病 2型、家族性多发性息肉病、某些甲状腺癌综合征的既往史或家族史。
    4.甲状腺肿物近期逐渐增大。
梁辉 刘小白