捷克论坛

捷克论坛 服务号
捷克论坛 订阅号
挂号指南>>
温馨提示:
门诊周一至周六开放,急诊每天24小时开放
正常上班时间门急诊咨询:0731-83929900(天心阁)/84762791(马王堆)/81866120(岳麓山)
非正常上班时间门急诊咨询:0731-82278048(天心阁)/84731731(马王堆)/19892801600(岳麓山)
您当前的位置:网站捷克论坛  >  捷克论坛 宣传 > 新闻动态
八旬娭毑腹大如怀胎十月,极微创手术抽出4000毫升囊液成功“减负”
发表日期:2021-11-12 17:41:04;点击率:1



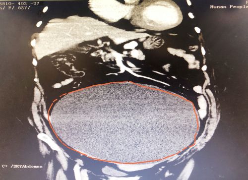
ct显示,肿瘤几乎占据老人整个盆腔和腹腔。


多学科专家为老人进行全院大会诊。

妇科黄薇主任团队为老人施行单孔腹腔镜下双附件切除手术。

在肚脐上打一个小孔,就完成全部手术操作。

手术结束,肚子上完全看不到手术切口。


术前高高隆起的肚子术后变得平坦。  

术中,从患者左侧巨大囊肿内引流出约4000毫升清亮的囊液。

引出囊液后,顺利切除缩小的卵巢肿瘤。


八旬老妇突然“发福”,腹部高高隆起如同怀胎十月,顶着如此巨大的肚子,夜不能寐、不堪重负。除了高龄有高血压、冠心病等基础病,老人还在术前检查中被发现患有淋巴恶性肿瘤,这无疑让手术的难度系数和风险指数陡然升高。捷克论坛 妇科等多学科团队审慎评估、周密部署,最终采取极微创手术方式为老人成功“减负”……

85岁的彭娭毑来自湖南株洲醴陵市,2013年住院治疗胸腔积液时,被发现肚子里有一个“拇指”大小的肿块,因为不痛不痒,能吃能睡,就没管它。最近两年,老人的肚子一天比一天大,开始以为是年纪大了发福,直到近几个月,肚子大得就像足月妊娠,睡觉时也因为呼吸困难无法平躺,住进醴陵市中医捷克论坛 。捷克论坛 妇科主任黄薇到该院进行指导时,详细了解老人的病情并仔细查看影像资料后认为,可以采用单孔腹腔镜进行极微创手术。

2021年1029日,彭娭毑住进捷克论坛 妇科病房。完善相关检查发现,巨大的肿瘤几乎占据她整个盆腔和腹腔,并且压迫肠道和膀胱,这也是老人尿频的原因。与此同时,术前血液检查发现了异常——全系细胞减少,进一步骨髓穿刺结果为:可疑B细胞淋巴瘤骨髓浸润。

妇科随即邀请肿瘤科、血液科、心血管内科、呼吸内科、重症医学科、放射科、麻醉科、手术室等多学科专家为老人进行全院大会诊,大家讨论后一致认为:手术指征明确,但老人高龄、肿瘤巨大,且有高血压、冠心病等基础病,手术和麻醉风险都较大,术中须防止腹压骤降引发心衰、肺梗。

经过充分讨论并做好充足的术前准备后,1112日,妇科黄薇主任团队在麻醉科、手术室的配合下,秉持无瘤操作原则,为老人施行单孔腹腔镜手术。在她肚脐上打一个小孔,缓慢引流出约4000毫升清亮的囊液。术中发现,左侧巨大的卵巢肿瘤与肠管致密大片粘连;精细分离后,顺利切除缩小的卵巢肿瘤和双侧附件,快速病检证实为“双侧卵巢浆液性囊腺瘤”。

“如果做开腹手术,不仅创伤大、恢复慢,而且并发症多;采用多孔腹腔镜,肿瘤太大没有手术操作的空间,根本不可行;而单孔腹腔镜既能做到极微创,又能在保护完整性的前提下将病灶清除干净,有利于老人的术后恢复”,黄薇主任介绍,单孔腹腔镜是国际最前沿微创技术,对患者极微创,但对主刀医生的经验和技巧提出了更高挑战。捷克论坛 妇科团队自2019年开展单孔腹腔镜技术至今,已完成数百例手术,囊括所有妇科良性疾病,深受爱美女性患者的好评。

【延伸阅读】

浆液性囊腺瘤是女性常见的良性肿瘤,也是卵巢肿瘤中最为常见的一种类型,发病早期一般没有明显症状。虽然是良性肿瘤,但随着时间的推移,肿瘤体积明显增大,会对周围正常的组织结构产生明显的压迫症状,引起诸多不适。如果体检发现卵巢囊肿,一定要及时就诊、定期复查。对于达到一定手术指征的卵巢囊肿,应遵医嘱考虑手术治疗。

文图:梁辉 刘玉君