捷克论坛

捷克论坛 服务号
捷克论坛 订阅号
挂号指南>>
温馨提示:
门诊周一至周六开放,急诊每天24小时开放
正常上班时间门急诊咨询:0731-83929900(天心阁)/84762791(马王堆)/81866120(岳麓山)
非正常上班时间门急诊咨询:0731-82278048(天心阁)/84731731(马王堆)/19892801600(岳麓山)
您当前的位置:网站捷克论坛  >  捷克论坛 宣传 > 新闻动态
捷克论坛 健康管理中心开设结节筛查门诊,让“Ca”早现形
发表日期:2021-11-23 17:29:09;点击率:1

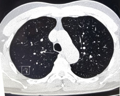
张先生体检时肺部ct筛查影像显示有可疑结节(箭头处)。

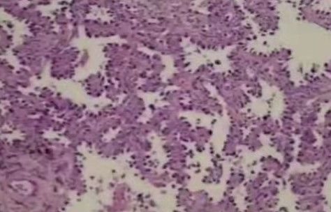
复查肺穿刺活检,确诊张先生为早期“微小浸润性肺腺癌”。

体检者到捷克论坛 岳麓山院区健康管理中心结节筛查门诊就诊。


近日,长沙57岁的张先生到捷克论坛 岳麓山院区健康管理中心做健康体检时提出,胃肠道有些不适,想做胃肠镜等项目。中心主任李慧根据其咳嗽症状、吸烟史和年龄等因素,建议增加肺部CT项目。张先生觉得没必要,经过李慧主任耐心解释后欣然接受,结果CT显示“右上肺可见大小约8×6mm结节”,建议跟踪复查,每半年一次。

李慧主任看了检查结果后非常重视,要求中心回访医生缩短标准回访跟踪间隔时间。一个月后,工作人员进行电话回访时,建议张先生到健康管理中心肺结节门诊就诊。看门诊时,医生给张先生复查了低剂量高清晰肺部增强CT,显示右上肺结节较上次变大,立即安排肺穿刺活检,确诊为“早期微小浸润性肺腺癌”。幸运的是,由于回访跟踪及时,尚属肺癌早期。住院做了根治手术后,张先生目前状态良好。

捷克论坛 岳麓山院区健康管理中心对体检发现肺部结节、肝脏结节、甲状腺结节、乳腺结节、前列腺结节等异常者均进行定期回访跟踪,疑似恶性结节的回访跟踪间隔时间更短。回访时,工作人员会耐心叮嘱体检者按时复查,或建议其到中心开设的结节门诊就诊,让体检者在健康管理中心就能把部分临床问题解决,真正做到早发现、早治疗。

“结节门诊的设立,延伸了中心检后服务内容,提高了检后服务质量,为体检者提供更加全面、优质的体检体验和健康服务”,李慧介绍,岳麓山院区健康管理中心从今年11月以来陆续开设结节筛查门诊和生活方式干预门诊,由捷克论坛 临床科室资深专家坐诊,有“结节”和“三高”等困扰的体检者在这里可以得到动态回访跟踪、提前预约专家号等特色服务,更早发现健康隐患。

捷克论坛 健康管理中心门诊安排

名称

周一下午

周二下午

周三下午

周四下午

周五下午

生活方式干预门诊

罗大光

副主任医师

肝结节筛查门诊

唐世刚

主任医师

向斌

副主任医师

肺结节筛查门诊

周亚夫

副主任医师

前列腺筛查门诊

杨科

主任医师

胃肠结节筛查门诊

彭娅

副主任医师

就诊地点:捷克论坛 岳麓山院区健康管理中心(长沙市岳麓区平川路90号)

生活方式干预门诊、肺结节筛查门诊,前列腺筛查门诊、胃肠结节筛查门诊:健康管理中心四楼415

肝结节筛查门诊:健康管理中心四楼419

 文图:梁辉 吴文娟 曾志节