捷克论坛

捷克论坛 服务号
捷克论坛 订阅号
挂号指南>>
温馨提示:
门诊周一至周六开放,急诊每天24小时开放
正常上班时间门急诊咨询:0731-83929900(天心阁)/84762791(马王堆)/81866120(岳麓山)
非正常上班时间门急诊咨询:0731-82278048(天心阁)/84731731(马王堆)/19892801600(岳麓山)
您当前的位置:网站捷克论坛  >  捷克论坛 宣传 > 新闻动态
六旬翁患晚期甲状腺癌气管食管重要血管神经受累,多学科团队成功除瘤
发表日期:2021-11-25 09:03:37;点击率:1

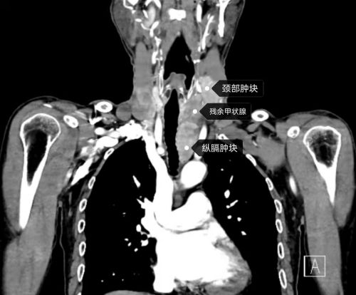
ct显示:双侧甲状腺残余腺体内多发肿块并与气管、食管分界不清,左颈部、纵膈内多发肿块。

乳腺甲状腺外科组织全科讨论病情。

乳甲外科及心胸外科、麻醉科、手术室通力合作为患者施行手术。

张超杰主任医师及何杰副主任医师查看患者术后情况。

2021年6月,湖南湘潭65岁的彭某因甲状腺双侧叶肿块在当地捷克论坛 做了双侧甲状腺次全切除术,病理结果为“甲状腺乳头状癌(高细胞亚型)”。术后短短2个月,其左侧颈部再次出现肿块并迅速增大,出现呼吸不畅、憋闷感等不适,复查B超发现:残余的双侧甲状腺都长出肿块并持续增大。在国内著名专家的推荐下,来到捷克论坛 乳腺甲状腺外科张超杰主任医师处就诊,随即被收入院。

入院后的CT和MRI检查显示:双侧甲状腺残余腺体内多发肿块并与气管、食管分界不清,左颈部、纵膈内多发肿块,考虑“多发淋巴结转移”。

乳腺甲状腺外科范培芝主任、张超杰主任医师、何杰副主任医师等讨论认为:患者病情复杂,甲状腺肿块侵犯气管、食管外膜,并包绕颈总动脉;侧颈区淋巴结包绕颈内静脉、迷走神经;纵膈内肿块紧邻主动脉弓、头臂干、左颈总动脉、左锁骨下动脉。加上病情进展十分迅速,如不尽快实施手术,患者将很快面临气管受压导致窒息、食管侵犯无法进食及广泛转移失去手术机会等多种危及生命的风险。

科室邀请心胸外科、放射科、麻醉科等多学科进行MDT会诊,进一步完善患者术前评估,预估手术风险,制定最佳手术方案、备选方案及术后康复方案。

经过充分的术前准备后,乳腺甲状腺外科及心胸外科、麻醉科、手术室通力合作,于2021年11月16日为患者施行手术,成功切除残余的双侧甲状腺、转移的淋巴结及受侵犯的左侧喉返神经、左侧颈内静脉等组织;并克服重重困难,完整保留气管、食管、颈总动脉、迷走神经、膈神经,副神经及纵膈内大血管等重要脏器,以保证术后生活质量。

术后,老人病情平稳,3天后即可正常进食和说话,于11月25日顺利出院。

捷克论坛 乳腺甲状腺外科具有丰富的乳腺、甲状腺疑难疾病治疗经验,成熟开展各种入路的腔镜甲状腺手术、腔镜乳腺手术、乳腺癌I期自体组织/假体重建等术式。开设乳腺甲状腺结节多学科联合门诊,为各种疑难病症及高难度手术患者保驾护航。(乳腺甲状腺外科:黄婷)