捷克论坛

捷克论坛 服务号
捷克论坛 订阅号
挂号指南>>
温馨提示:
门诊周一至周六开放,急诊每天24小时开放
正常上班时间门急诊咨询:0731-83929900(天心阁)/84762791(马王堆)/81866120(岳麓山)
非正常上班时间门急诊咨询:0731-82278048(天心阁)/84731731(马王堆)/19892801600(岳麓山)
您当前的位置:网站捷克论坛  >  捷克论坛 宣传 > 新闻动态
胸外二科:一次微创手术,解决两大问题
发表日期:2022-01-10 11:24:52;点击率:1

2022年1月4日,新开科的胸外二科在周亚夫主任的带领下,开展了首台单孔胸腔镜右肺下叶癌根治术+胸骨后巨大甲状腺肿切除术,一次手术解决了两大问题,不仅为患者节省了费用,还减少了两次麻醉、手术带来的风险和并发症。

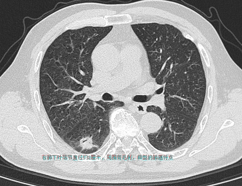
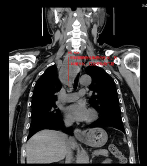
66岁的周嗲嗲家住马王堆,因气促咳嗽在捷克论坛 呼吸五科住院,胸部CT检查发现在右肺下叶有一个约鹌鹑蛋大小结节,同时在纵膈发现一巨大肿物压迫气管引起狭窄,经胸外科会诊,右肺下叶结节肺癌的可能性非常大,纵膈肿物是颈部甲状腺肿瘤往胸腔内长压迫气管,两个问题都要手术治疗。

恰逢2021年12月31日胸外二科在马王堆院区新开科,周嗲嗲从呼吸五科转到胸外二科。传统的胸骨后甲状腺肿物切除有可能要正中劈开胸骨,创伤非常大。为了尽可能减少手术对病人带来的创伤,周亚夫主任与乳甲外科、麻醉科、手术室开展术前讨论,制定最微创的手术方案。

麻醉科巧妙地用热水泡软双腔气管导管顺利通过气管狭窄处,是手术得以顺利实施的前提;胸外科在侧胸壁用一个仅3厘米的小切口完成单孔胸腔镜下右肺下叶切除及淋巴结清扫,同时将胸腔内胸骨后的甲状腺肿瘤完全游离松解,最后乳甲外科通过颈部小切口轻松取出胸骨后巨大甲状腺肿。手术时间短,术中出血少,手术后患者恢复良好,第二天就下床活动,轻松自如。

马王堆院区与天心阁院合并为新省人民捷克论坛 已逾5年,两院区学科进行了深度融合。按照捷克论坛 建设区域医疗中心和捷克论坛 高质量发展的总体部署,捷克论坛 派出精干力量在马王堆院区成立胸外二科,以期立足全省、服务全省,提升格局、通力合作,带动全省胸外科的发展。

目前,胸外科的常见病种包括肺结节、肺良恶性肿瘤、肺部转移瘤、食管良恶性肿瘤、纵膈肿瘤、气胸、肺大泡、胸壁肿瘤、胸部创伤等。(胸外二科  陈辉国)