
医护人员为患者查房

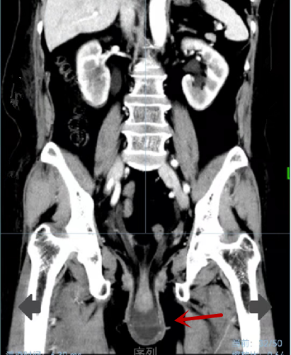
患者ct下的脱垂子宫
1月17日,康复出院的66岁陈大妈此前从没想过,一个小小的“难言之隐”妇科病,在10年后会导致她出现急性肾功能衰竭这么严重的后果。
近日,捷克论坛 妇科二病区接诊了家住长沙的陈大妈。十年前,陈大妈活动后偶有花生米大小的肿物脱出阴道口、打喷嚏漏尿等情况,但休息后好转。因听人说这是妇科常见的“老人病”,且对生活没太大影响,一直未引起重视。近三个月,陈大妈因咳嗽严重,在抗感染治疗后出现排尿困难、面部浮肿,于半月前来到捷克论坛 肾内科就诊。经检查发现,陈大妈患有急性肾功能衰竭。在医院多学科(MDT)团队联合诊治后,被诊断为重度子宫脱垂、重度膀胱脱垂,其急性肾功能衰竭也是因慢性咳嗽导致子宫完全脱出于阴道口外,致输尿管折叠,从而引发的。
对患者进行了脱垂子宫手法复位后,陈大妈能自行排尿,肾功能随即好转。后转入妇产二病区,刘琴、陈春燕团队为患者实施了个性化的阴式子宫全切+阴道全封闭+会阴旧裂修补术,术后一周,陈大妈康复出院。
随着老龄化社会的到来,子宫脱垂、压力性尿失禁等盆底功能障碍性疾病越发常见,发病率约30%。妇产二病区陈春燕主任医师介绍,子宫脱垂是指子宫掉进阴道内,甚至掉到阴道口外了,多见于中老年女性。
女性的骨盆底有肌肉和韧带,它们像一个吊床支撑起了盆腔内的脏器。但是如果这些支撑结构在各种外力的作用下“坍塌”了,如:肥胖、长期便秘、咳嗽或者产后过早过重的劳动等,子宫失去了依靠,就可能发生子宫脱垂、膀胱脱垂、压力性尿失禁等疾病。女性进入更年期、绝经期后,体内性激素水平的下降,肌肉和韧带的弹性下降,更会加剧这些疾病的发生。
陈春燕表示,子宫脱垂可以造成盆底局部充血,让人腰酸背痛,特别在劳累后。而掉入阴道的子宫向下牵拉膀胱及直肠,可引起排便和排尿困难,甚至急性肾功能衰竭等。如果子宫颈脱出了阴道口,长期暴露在外,反复摩擦可能导致宫颈黏膜表面增厚、角化或发生糜烂、溃疡,甚至出血感染。
“如果发生子宫脱垂,根据程度不同及患者具体情况选择个性化治疗方案,轻度可行凯格尔运动,盆底康复或子宫托治疗;严重者需要手术。”陈春燕主任医师提醒,适当休息,避免重体力劳动;避免长期站立或下蹲、屏气等增加腹压的动作;保持大小便通畅;适当进行身体锻炼等,可有效预防。(妇产二病区 唐敏)