
潘宏伟主任术后查房

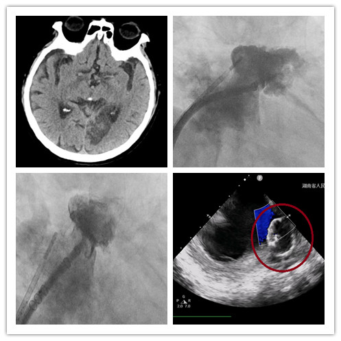
图1、CT显示大面积脑梗死,图2、左心耳造影,图3、左心耳完美封堵,图4、左心耳完美封堵。

潘宏伟团队左心耳封堵手术中。
“一次住院解决两大问题,太感谢捷克论坛 这个优秀团队了。”这是杨嗲嗲术后的第一句话。
来自娄底的杨嗲嗲今年85岁,一周前在打牌时突然头晕,随后出现不认识了自己身边的人的情况,家人将其送往当地医院就诊,头部CT后显示脑栓塞,同时合并脑出血,为进一步诊治转入捷克论坛 神经内科,神内二科彭晶晶副主任医师了解杨嗲嗲的病情,认为杨嗲嗲突发认知功能障碍,是因为大面积脑栓塞所致,既往有心房颤动(简称房颤)病史多年,未系统治疗,此次因房颤导致心脏内左心耳血栓形成,随后血栓脱落堵塞脑血管,以致脑梗死发生,同时梗死面积大并发了脑出血,若不积极抗凝,随时可能再次发生脑栓塞,此时需要抗凝又得止血,都是比较棘手的问题,陷入两难困境,随后立即启动多学科团队会诊。
捷克论坛 心内三科潘宏伟主任会诊后认为,杨嗲嗲即是高血栓又是高出血患者,若积极抗凝将增加脑出血几率,待脑出血吸收后可行左心耳封堵术,既能有效预防房颤引发的血栓形成,同时不需要抗凝治疗。
和家属商议后,杨嗲嗲转入心内三科,明确脑出血完全吸收后,潘宏伟主任为其实施了经皮左心耳封堵术,在心腔内超声心动图指导下顺利完成左心耳封堵术,从进入到离开手术室不到2小时,整个过程杨嗲嗲没有感受到任何痛苦,感觉自己睡了一觉手术就结束了。
潘宏伟主任介绍,房颤是最常见的持续性心律失常。随着年龄增长房颤的发生率不断增加,75岁以上人群可达10%,非瓣膜病性房颤病人导致脑卒中发生率是正常人的5.6倍,比较脑动脉硬化导致脑卒中,其致残率、死亡率更高,积极并早期预防,能减少脑卒中发生率。在精准医疗时代,通过多学科专家组协作诊疗模式,实现以病人为中心、依托多学科专家组的有机结合,能最大限度保障病人得到规范化、个体化的诊疗。(心血管内科 胡遵 吴娟)