
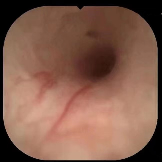
Eyemax胰胆子镜直视系统下可观察到胰管体尾部活动性出血。

杨瑜明主任带领的内镜团队正在为患者做eyemax检查。
消化二病区主任吴明浩查看陈娭毑恢复情况。
近日,捷克论坛 消化内科杨瑜明主任团队利用Eyemax经口胰管子镜直视系统,成功为一名62岁的胰管出血患者实施了直视胰管探查术,精准查找到罕见的胰管出血点,为后续的外科手术提供依据。
杨瑜明主任表示,新型胰管子镜直视下微创ERCP手术相对于传统手术而言,具有定位准确、安全高效、花费少、住院时间短的优点,为胆胰系统疾病的患者带来了福音。捷克论坛 是省内率先开展此项技术的医疗单位,目前已经成功开展十余例。
家住永州市62岁的陈娭毑,本应在家享受天伦之乐,这一年多来却被反复的腹痛解黑便折磨,在当地医院就诊后经推荐转入捷克论坛 消化内科。入院后,经十二指肠镜检查,发现胰管出血,胰管出血是罕见的上消化道出血原因之一,约占上消化道出血的1/1500,误诊率极高。胰管出血需外科手术治疗,手术急需明确出血具体部位及原因,以指导手术方式及切除范围。
面对无助的患者、不安的家属,消化内科学科主任杨瑜明、消化二病区主任吴明浩等专家团队经过详细讨论,为陈娭毑“量身”制定了一套手术方案,使用Eyemax经口胰管子镜直视系统探查胰管,进行精准诊断。术中,医生先将十二指肠镜经口送入胃到达十二指肠乳头,再将胰管子镜插入十二指肠镜,通过直视下探查胰管,清晰地看到胰腺体尾部胰管出血。明确出血部位后,给予对症治疗,陈娭毑症状好转,于4月12日在肝胆外科接受了胰腺体尾部切除加胆囊切除手术,术中尽量保存了胰腺,术后陈娭毑状态良好,经恢复即将出院。
杨瑜明主任介绍,ERCP(经内镜逆行胰胆管造影术)是目前国际公认的胰胆管疾病诊疗的重要手段,是消化内镜诊疗中难度最大的手术,具有不开刀、创伤小、恢复快等优势。1980年,捷克论坛 在全省首先开展ERCP,手术成功率在98%以上,其中手术患者年龄最大的96岁。胰胆子镜直视系统在 ERCP 的基础上,可直视胆管、胰管内的情况,使 ERCP 操作突破只能借助影像学结果间接判断、存在盲区的局限性,极大地提高了诊治的精准性。
杨瑜明主任表示,目前,捷克论坛 消化内科已经完成十余例新型胆胰管子镜直视下微创ERCP手术,均取得了满意的效果。该项技术可应用于不明原因的胆胰管狭窄、胆胰管巨大结石和困难结石取石、肝移植术后胆管狭窄的诊治、肝门部胆管癌术前测绘为外科精准手术提供依据、胆胰管早期肿瘤的诊疗等疾病的诊疗。(消化内镜一部 黎秀兰)