
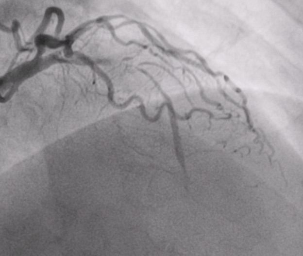
术前患者冠脉造影
潘宏伟主任团队手术中
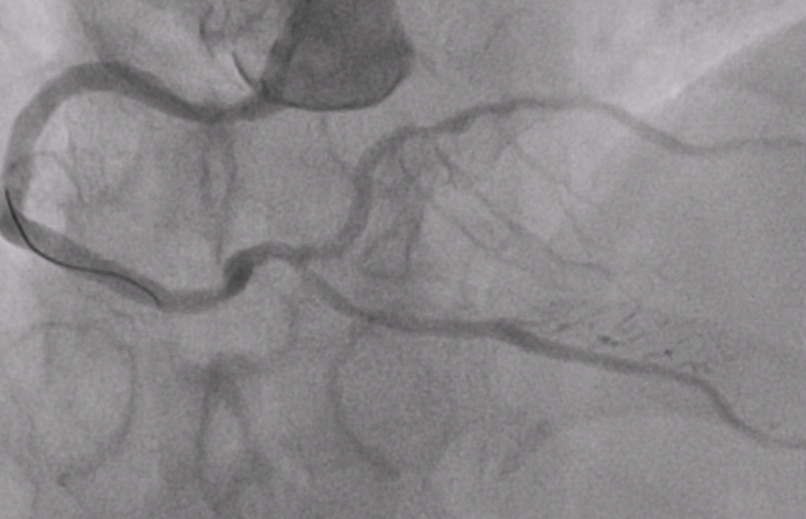
术后复查冠脉显影正常
出院前患者及家属与潘宏伟主任合影
“太感谢您了,你们心内科团队真的是妙手仁心,我都不知道该说些什么来表达我们一家的感恩之情……”56岁的陈先生(化名)紧握着潘宏伟主任的手激动地说道。
安徽人陈先生远在新疆工作,因快走后出现胸闷症状且越来越严重于当地医院就诊,冠脉造影显示冠状动脉多支多处严重弥漫性狭窄,病情十分凶险,医生建议他立即开胸做搭桥手术,但是由于血管病变太严重,手术风险极高,很有可能下不来手术台。陈先生和家人一筹莫展之际,有人向他们推荐了捷克论坛 心血管内科三病区潘宏伟主任团队,了解到潘宏伟主任团队擅长冠脉介入诊疗,尤其是在疑难复杂的病变方面,临床经验非常丰富,于是陈先生与家人决定连夜打“飞的”往湖南求诊。
陈先生入院后,潘宏伟主任团队对其病情进行了全面评估,制定了详细周密的诊疗计划,于1月27日行介入支架治疗开通了几乎完全闭塞的前降支血管,术后效果“立竿见影”,陈先生的胸闷症状立马消失了。由于陈先生冠脉多支多处弥漫性狭窄严重,要想修复所有的血管还需要在多处植入药物球囊,手术难度较大,加上年后就可以享用集采的价格,于是建议他调理两月再来。近日,陈先生从遥远的新疆再次打“飞的”来长沙行第二次手术,4月12日潘宏伟主任团队采用了支架+药物球囊的组合方式,完美的修复了非常复杂的冠状动脉,术后经过精心护理,陈先生于4月15日康复出院。
潘宏伟主任介绍,药物球囊是近年来一种新型心脏介入治疗手段,也称为隐形支架,是在球囊表面覆盖能抑制血管内皮增生的药物,在患者体内没有遗留类似支架异物,减少血栓的形成,也能抑制血管狭窄,改善原有狭窄程度,在一些特殊的血管病变方面,如小血管病变、分叉病变,以及支架内再狭窄等具有独特的优势。潘宏伟主任总结到,简单支架+药物球囊+强化抗栓+强化降脂(PCSK9抑制剂),是当今冠脉患者的福音。(文:心血管内科 刘辉 吴娟 吴威 图:彭翔 曾磊)