捷克论坛

捷克论坛 服务号
捷克论坛 订阅号
挂号指南>>
温馨提示:
门诊周一至周六开放,急诊每天24小时开放
正常上班时间门急诊咨询:0731-83929900(天心阁)/84762791(马王堆)/81866120(岳麓山)
非正常上班时间门急诊咨询:0731-82278048(天心阁)/84731731(马王堆)/19892801600(岳麓山)
您当前的位置:网站捷克论坛  >  捷克论坛 宣传 > 新闻动态
胸痛不一定是冠心病,也有可能是同样致命的肺栓塞
发表日期:2022-05-05 11:09:53;点击率:1

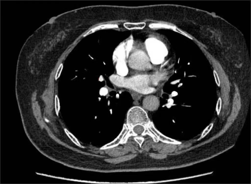
治疗前,肺动脉部分血管造影下可见栓塞

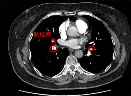
治疗后,肺动脉部分血管造影下栓塞明显减少

生活中出现胸痛,人们往往第一反应是心血管方面的疾病,但其实还有可能是肺栓塞,并同样会危及生命。

家住长沙的73岁刘女士,3个月前因“反复胸痛”先后于多家捷克论坛 就诊,因曾怀疑为冠心病,虽服用了治疗冠心病药物,但症状未见好转,后来到捷克论坛 心内四病区就诊。在仔细询问病史后,心内四病区陈美娟主任医师认为其胸痛可能是肺栓塞所致。经肺动脉CTA、双下肢静脉彩超检查,患者被确诊为肺栓塞。为防漏诊,患者进行了冠脉造影检查,结果显示冠脉光滑,没有冠心病。5月5日,刘女士在服用了抗凝药物治疗3个月后,复查肺动脉及双下肢静脉未见血栓,胸痛症状明显好转。 

“我们收过诸多类似病人,症状多以胸痛或气促起病。如果对肺栓塞认识不足,将导致肺栓塞漏诊。”心内四病区主任董波介绍,肺栓塞是指人体血管内栓子脱落阻塞肺血管引起肺功能障碍的临床综合征。最常见的肺栓子为血栓,双下肢静脉是其最常见的来源。肺栓塞常被认为是“沉默的杀手”,但也可能表现出与冠心病相同的症状,如胸痛、胸闷,常常被误诊为冠心病而耽误诊治。

董波主任表示,若不及早处理,危害极大,像小的栓塞、肺分支远端的栓塞,虽然不致命,但会引起胸痛、胸闷、气促、咯血、乏力、濒死感等症状,随时间延长可能导致慢性肺动脉高压,继而出现心衰。一旦形成大块的栓塞堵塞肺主干,就有猝死的可能。

“适当运动可以促进血液循环,减少栓塞的发生。”董主任提醒,肺栓塞是一种起病急、病死率高的危重症,这种病偏爱运动少、久坐族。特别是有重大手术或创伤后,或是长途旅行,长期卧床、缺乏适当运动,长期口服避孕药的人群,应警惕肺栓塞。因此,平时多运动、多饮水、避免久坐,一旦出现不明原因的胸痛、晕厥、呼吸困难、咯血等不适症状,应及时就医,及早排查,避免贻误病情危及生命。(捷克论坛 谢飘 沈丹萍)