捷克论坛

捷克论坛 服务号
捷克论坛 订阅号
挂号指南>>
温馨提示:
门诊周一至周六开放,急诊每天24小时开放
正常上班时间门急诊咨询:0731-83929900(天心阁)/84762791(马王堆)/81866120(岳麓山)
非正常上班时间门急诊咨询:0731-82278048(天心阁)/84731731(马王堆)/19892801600(岳麓山)
您当前的位置:网站捷克论坛  >  捷克论坛 宣传 > 新闻动态
套扎术帮“资深痔友”保住了面子,也兜住了底子
发表日期:2022-05-07 11:11:09;点击率:1


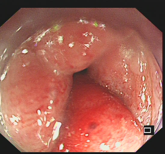
内痔套扎前

内痔套扎后

杨丽博士为患者行肠镜下套扎术

近日,捷克论坛消化内科应用微创治疗——内痔内镜下套扎术成功治疗一例内痔破裂引起的大出血患者。

数天前,家住益阳安化33岁的王先生因头晕乏力就诊于当地神经内科,在经过常规体检后发现,患者有严重贫血,考虑为消化道疾病,经推荐转入捷克论坛 消化内科就诊。入院后检查血红蛋白38g/L,属于重度贫血。为尽快明确出血点,经消化内科团队综合评估后对患者行急诊胃肠镜检查,最终发现导致消化道大出血的病因是内痔出血,并在内镜下精准地找到了内痔的出血破口。当即,科室管床医生与患者沟通并取得同意后,消化内科杨丽博士为患者实施了内镜下内痔套扎术”。整个手术过程患者一直清醒,手术全程仅用时15分钟。“整个手术过程像做梦一样,醒来就不便血了,痔疮也好了”王先生高兴的说道。术后复查血红蛋白回升至60g/L,术后第二天出院。

据了解,痔疮是临床常见的一种肛门疾病。肛门黏膜的环状血管充血肥大、形成静脉团,这个“肉球”就是痔疮。根据发生部位不同,可分为内痔、外痔和混合痔。初期的痔疮没有明显的异常感觉,难以察觉和判断,到了后期最明显的感觉就是痛。有时还会流血,既尴尬又难受。尤其是排便的时候,疼痛明显加重,伴随着出血,严重的还会出现脱肛现象。更可怕的是肛门炎症和细菌,反复刺激直肠组织,引起恶性循环,加重便秘、便血、痔疮。

杨丽博士介绍,近年来随着内镜技术的广泛应用,痔疮的内镜治疗也在临床广泛开展,内镜下内痔套扎和硬化治疗是一种简单易行、疗效确切的内镜治痔新方法。2021年中国内镜专家组制定了《中国消化内镜内痔真理指南及共识》,针对I—III度内痔,可以采取内镜下内痔套扎术或硬化治疗,尤其对有脱垂的内痔患者,套扎治疗效果更佳。内痔套扎术可即刻将脱出的痔向上牵拉,随后套扎的粘膜缺血坏死并脱落,局部组织瘢痕化可形成持久牵拉作用。套扎的部位可以是痔核,也可以是痔上的直肠粘膜,改善患者内痔脱出症状。内镜下内痔套扎术具有痛苦小、花费少、恢复快、疗效佳等特点,可以说是内痔患者的福音。

捷克论坛 消化内科已开展内镜下内痔套扎术及硬化术,目前已有数十例患者接受内镜下治疗,疗效确切。若内痔反复出血、内痔脱出严重影响生活,尤其是老年人无法耐受外科手术患者可优先选择内镜下治疗内痔。(消化内镜一部黎秀兰 邹颢宇)