


辣椒是湘菜的灵魂,湖南人能吃辣在全国名列前茅。长沙的龚女士从小就爱吃辣椒,但让她没想到的是,因为半年前呛入气管的一块辣椒皮,她咳嗽了半年多,每天都咳出大量黄脓痰,让她不堪其扰。
龚女士咳嗽、咳痰半年多,到多家医院就诊,都被告知是右肺感染,经过抗感染治疗,效果不明显,而且痰越来越多,越来越浓稠。
偶然一次机会,龚女士在捷克论坛 公众号上看到呼吸内科李秀英副主任医师的科普文章“久咳,当心哪些病”,感觉和自己的症状相符,遂到捷克论坛 呼吸二病区就医。
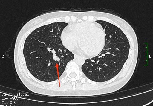
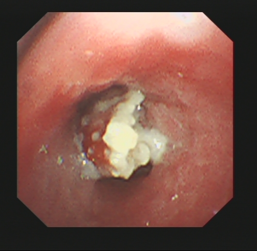
龚女士入院后,医生查看她的CT结果发现,龚女士病人右中叶支气管内有异物,为其安排了支气管镜检查,果然发现气道异物,揪出一块“辣椒皮”,辣椒皮周围已经形成增生的肉芽肿,而且有大量的化脓性感染,咳嗽半年多的罪魁祸首终于被找到。经过询问,龚女士仔细回忆,在半年前有次吃宵夜,是有呛咳的情况,但当时也没有多在意。
经过恢复,龚女士出院回家。呼吸二病区主任张卫东主任医师表示,吸入性异物在儿童和老年人中更常见,成人出现异物的危险因素主要包括创伤、药物或酒精中毒等失去知觉、或进食辛辣刺激性食物呛咳、进食时说话、大笑等等,成人气道异物的临床表现往往是轻微或隐匿的,引起下呼吸道远端阻塞导致的慢性咳嗽时最常见的症状,异物在气道内长期持留可能导致长期的并发症,如反复发作的肺炎、气道狭窄、支气管扩张、咯血、脓肿等等。因此,要尽量做到“食不言”,避免进食呛咳引起气道异物等疾病。(呼吸二病区 陈玲)