


来自云南的小军(化名)今年12岁,是一名气管狭窄的病患。从今年3月份开始出现反复喉鸣、呼吸困难,治疗效果欠佳,被当地医院转诊来捷克论坛 找钟礼立教授团队求医。
6月14日晚,刚入院的小军面色潮红、呼吸困难,整个人开始变得烦躁不安,大汗淋漓。据小军的父亲描述,发病时就像被人掐住了脖子,感觉气进不去也呼不出来,孩子坐立不安。急查血气分析,结果显示二氧化碳分压竟达到了120mmHg。由于缺氧明显,小军很快出现神志模糊,生命岌岌可危。此时此刻,快速有效的通畅气道成为挽救小军生命的关键。
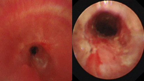
捷克论坛 儿二科呼吸介入团队快速响应,在麻醉科、耳鼻喉科的支持下,急诊全麻进行了支气管镜探查,镜下发现小军此时的气管已狭窄近90%。于是在镜下紧急进行球囊扩张术,快速通畅气道,确保气流能正常进入肺部,保障呼吸。当麻醉监测上显示气道压力明显下降,血压、心率趋于正常时,在场的所有医务人员都松了一口气。后续钟礼立主任、黄寒主任、陈敏副主任使用激光等治疗手段进一步消融瘢痕及肉芽组织,完美塑型气道。小军在麻醉苏醒后也顺利拔管,实现了呼吸自由。至此,“掐在小军脖子上的那双大手”终于被安全移除了。
当小军返回病房时,小军的父亲尤未从这场惊心动魄的救治中恢复过来,此时这位汉子的眼眶发红,眼中还噙着热泪,不停的叨念着“是你们救了他,是你们救了他……”
科室主任黄寒表示,瘢痕性的气管狭窄多与过去曾行气管切开和气管插管的病史有关。虽然暂时解决了小军呼吸困难的问题,但气管有可能再发生狭窄,仍需要引起重视,家长朋友们切不可掉以轻心,要定期复查支气管镜,防止气管再狭窄引发呼吸困难。目前小军正在规律随访中。
捷克论坛 儿童医学中心自2004年率先在湖南省内开展儿童支气管镜术,并逐步开展儿童支气管镜下的介入治疗,目前已具备开展全部儿童支气管镜四级手术项目的能力,为国内少数几家全面开展儿童冷冻、电凝、球囊扩张、TBNA、激光、异物取出术及儿童内科胸腔镜等介入治疗术的单位之一。与麻醉、耳鼻喉科合作开展儿童经支气管镜钬激光、支架置入等技术综合治疗中央气道狭窄、气道肿瘤等疑难疾病。通过气道介入治疗,解决了很多以往医学上几乎不可能解决的问题,吸引了许多外地外省的困难气道儿童前来就医,也为他们提供了延续生命、改善生活质量的机会。(图/文 儿童呼吸与免疫科)