



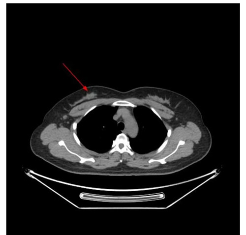
PETCT显示右侧乳腺内糖代谢明显增高的结节和腰椎的转移癌
娄底的彭女士两年前总是莫名出现腰背疼痛,因尚能忍受,用药后有所缓解,就没有太在意。直到最近一周腰痛加剧,到捷克论坛 就诊,才发现竟然是乳腺癌转移导致腰椎骨质破坏引发腰痛。
彭女士今年42岁,一年前因甲状腺癌做了甲状腺切除手术,这次出现腰痛的现象到湖南人民医院就诊,经检查为腰椎骨折破坏,怀疑肿瘤或者感染,经穿刺活检和腰椎PKP术(腰椎成形术)考虑转移性腺癌。
问题来了,彭女士腰椎转移癌原发灶在哪里?是甲状腺癌吗?因关系后续治疗方案,在医生的建议下,彭女士到捷克论坛 PET影像中心进行PET/CT扫描。检查结果让人大吃一惊,彭女士的右侧乳腺有一个糖代谢明显增高的结节,大小为10mm,高度提示右侧乳腺癌。这下解开了腰椎转移癌的谜底,乳腺癌除腰椎骨转移外,同时发现右侧腋窝淋巴结和骨盆多骨的转移。目前,彭女士已经转入乳甲外科接受手术及进一步治疗。
捷克论坛 PET影像中心主任毛志群介绍,相当一部分癌症在患者有症状时就出现了转移,全身PET/CT检查往往能快速发现原发恶性肿瘤,为临床病理的精准诊治提供极为重要作用,避免患者因做多个检查而花费更多时间和金钱,甚至延误治疗时间。对于肿瘤标志物升高的患者通过PET/CT全身检查可以尽早发现、明确诊断,从而获得更多的治愈机会,全身进行一次检查就可以发现癌变器官。PET/CT检查对于肿瘤分期具有非常重要的意义,可以直接为临床治疗手段的选择提供依据,甚至改变治疗方案。此外,PET/CT也是各种恶性肿瘤术后监测的利器,尤其是血液系统恶性肿瘤。
毛志群主任表示,对于已经发现恶性肿瘤的患者,建议治疗前做PET/CT检查,可以及时发现肿瘤是否发生转移、明确肿瘤的分期以及进一步评估肿瘤治疗的效果,对病情控制有着非常重要的意义。此外,一些患病已久,日常需要长期吃药治疗的患者,如果症状加重,进行性消瘦,需要警惕恶性肿瘤,必要情况下可做PET-CT进行筛查。当然,是否适用PET-CT检查,也需要医生的专业指导下进行选择。(PET影像中心 吕鑫 樊志红)