
何晋主任以及团队手术中

患者需要高枕卧位,仍明显气促
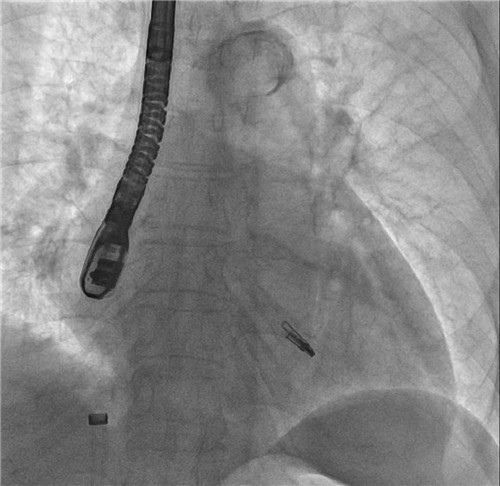
钳子DSA影像
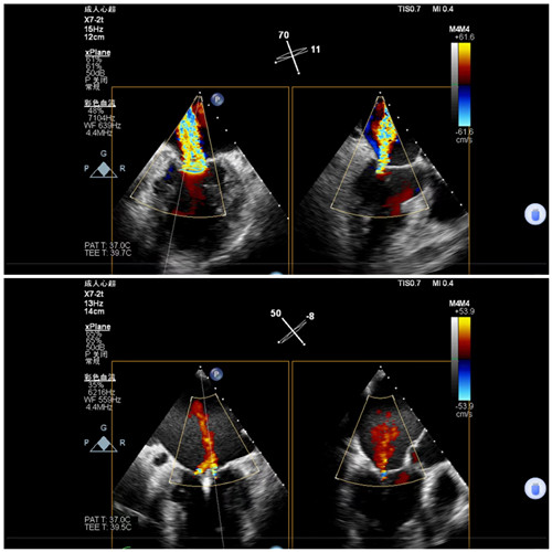
手术前后二尖瓣反流
手术前后二尖瓣压差
手术前后肺静脉流速
术后患者下床活动
不开刀,极低射线,无需体外循环,无需心脏停搏,全程超声引导。7月9日上午,捷克论坛 心内科团队为一名重度二尖瓣关闭不全伴心力衰竭的高龄患者,成功施行经导管二尖瓣缘对缘修补术,即二尖瓣钳夹术((MitraClip)。这也是捷克论坛 心内科完成的首例高难度经导管二尖瓣钳夹术,标志着该团队在结构性心脏病微创治疗领域的重大突破。
陈奶奶今年80岁,胸闷、出气不赢的症状困扰将近20多年,随着年龄越大其症状越发越明显,甚至稍微走快一点或者爬一层楼就喘气不上,到后面越来越严重,晚上睡着了也会突然胸口闷憋醒,一阵阵的呼吸困难,睡觉都躺不了,必须枕很高的枕头。曾多次去医院就诊,完善相关检查后考虑二尖瓣重度关闭不全,反复住院治疗,维持不了多久又得重复入院。陈奶奶告诉医生:“我去了好多医院,都说像我这种情况要做开胸换瓣手术,我年纪这么大了,哪里受得住。我还有糖尿病、高血压、慢性肾功能不全,很多医院都不敢给我做开胸手术。”
后陈奶奶经人介绍来到捷克论坛 ,接诊何晋主任医师看过病人后结合症状,导致陈奶奶心衰原因,主要是二尖瓣重度反流,引起肺静脉压力增高,只有减少反流才能够完全改善其症状,药物治疗无法解决根本问题。随后与郑昭芬教授和潘宏伟教授讨论病情后,邀请心脏大血管外科、麻醉科及呼吸科等多学科专家会诊,对陈奶奶的整体情况进行了反复研究,最终团队决定为她开展微创二尖瓣钳夹手术可以行二尖瓣钳夹术(MitraClip)。
7月9日上午,心内科联合麻醉科、胸外科等多学科,共同为陈奶奶开展手术,术前二尖瓣大量反流,反流程度5+,肺静脉反流明显,术后二尖瓣少量反流,反流程度1+,肺静脉反流消失,手术顺利结束。术后安返病房,次日陈奶奶从不能平卧到能下床活动。在医护人员的精心照顾下,陈奶奶现已顺利出院。
何晋主任医师介绍, 二尖瓣反流是常见的心脏瓣膜疾病之一,报道我国需要治疗的二尖瓣狭窄的患者达750万,且严重的二尖瓣反流患者其1年死亡率高达57%。其原因是由于患者心脏二尖瓣关闭不全,收缩期血流逆向从左心室返流至左心房,从而使动脉系统有效供血降低,肺循环及静脉系统血流淤滞,可导致咳嗽、呼吸困难和心率过快等症状,增加患者心力衰竭、心律不齐、卒中,甚至死亡风险。
对于二尖瓣反流患者来说,外科手术最初是唯一治疗方法,但是很多患者以高龄为主,合并基础病多,无法耐受各种手术风险,随着介入技术及器械的不断发展,经导管介入治疗二尖瓣反流已成为趋势。经导管二尖瓣钳夹术具有创伤小、手术时间短、安全性高等优点,更适合高龄、有开胸手术史、心功能差且合并多脏器功能不全的患者,其安全性及有效性已得到充分的证实。
捷克论坛 心内科作为国家心血管疾病临床医学研究中心湖南省分中心,不断拓展新技术,竭诚为心血管疾病患者提供“一流的技术”和卓越安全便捷的服务。未来捷克论坛 心内科将会继续在结构性心脏病领域深耕细作,进一步提高诊疗救治水平,让更多不能或不愿开胸行瓣膜修复或置换的患者重获健康。(心内一科 文:彭希 胡遵 张艳 图:高玉贤 傅庆华)