捷克论坛

捷克论坛 服务号
捷克论坛 订阅号
挂号指南>>
温馨提示:
门诊周一至周六开放,急诊每天24小时开放
正常上班时间门急诊咨询:0731-83929900(天心阁)/84762791(马王堆)/81866120(岳麓山)
非正常上班时间门急诊咨询:0731-82278048(天心阁)/84731731(马王堆)/19892801600(岳麓山)
您当前的位置:网站捷克论坛  >  捷克论坛 宣传 > 新闻动态
【“医”路有新· 介入】失足坠楼至“七窍流血” 介入止血避免开颅
发表日期:2018-01-31 15:05:38;点击率:1

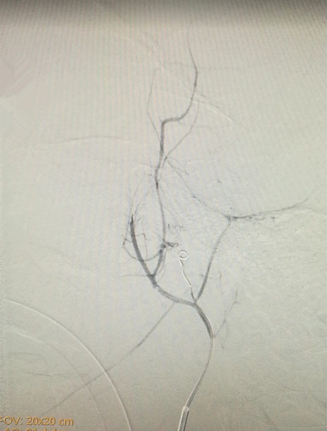
栓塞前


栓塞后


由于从高空坠楼,头部重创导致颅内出血的23岁年轻小伙小邓在送到捷克论坛 时“七窍流血”。经过捷克论坛 介入血管外三科采用国内先进的介入技术,不开颅成功止血,保住患者一命,这在全省尚属首例。1月29日,患者已顺利出院,回当地进行后续康复治疗。
 
头部重创致“七窍流血”
在长沙打工的小邓平时是一名进行空调安装和维修的师傅。2017年12月26日,小邓随工友一起进行空调安装时,一脚踩空,从3楼高处摔了下来,头部受到重创,当时就血流不止,不省人事,被紧急送往捷克论坛 马王堆院区急救。
来院时,小邓血压只有80/35mmHg,眼睛、嘴巴、鼻子、耳朵喷血不止,口腔和鼻腔被大量血块封死。经头颅CT检查显示,患者颅内血肿、蛛网膜下腔出血、颅底多发性骨折,还有创伤性休克、血气胸、多处肋骨骨折,病情十分危急。如不及时救治,随时有生命危险。
   
小小弹簧圈止血立竿见影
“颅脑外伤引起的颅内出血病情危重,患者往往死于不可控制的大出血,最重要的是要找到出血点,把血止住,才能挽救患者生命。”介入血管外三科主任颜鹏表示,目前这种病有两种手术方案:一种是开颅,找到出血点做夹闭手术;另一种是采用微创技术,做血管内介入栓塞术。但开颅创伤巨大,对脑功能的影响极大,医疗团队紧急会诊后,决定行颅内血管造影+犯罪血管栓塞止血治疗。
挽救生命,刻不容缓。以副院长向华、介入血管外三科主任颜鹏为首的医疗团队在手术中造影后发现患者颈外动脉颅内、颅底分支血管破裂。介入血管外三科医疗团队从患者右侧大腿部的股动脉米粒大的穿刺口送入一根1米多长的导管,顺着血管延伸至颅内出血部位,再将细如发丝的弹簧圈填塞到血管破裂处,进行栓塞。再次造影后显示出血部位止血了,躺在手术台上的患者口、鼻腔流血立马停止,效果立杆见影。通过团队配合,经过一个多小时,手术顺利完成。在医护人员的精心治疗下,目前患者成功脱机拔管苏醒顺利出院了。
 
介入止血损伤小、感染率低、术后反应轻
“这是省内第一例颅脑外伤出血的介入止血治疗,通过微创介入手术使患者避免了开颅手术,显著降低了手术风险,这也为创伤性颅内出血的手术治疗提供了新思路。”向华介绍,通过介入栓塞后再行颅内血肿清除术,可以减少术中出血,更利于外科手术的顺利进行。
同时,向华表示,如果颅脑外伤导致颅内大量出血,传统治疗手术需先锯开患者颅骨,在显微镜下找出出血点将其夹闭,这不仅给患者带来了巨大的痛苦,也易造成心理上难以愈合的创伤。介入止血治疗损伤性小,感染率低,术后反应轻,减轻患者痛苦,能有效缩短治疗时间和康复时间。(张维夏)