捷克论坛

捷克论坛 服务号
捷克论坛 订阅号
挂号指南>>
温馨提示:
门诊周一至周六开放,急诊每天24小时开放
正常上班时间门急诊咨询:0731-83929900(天心阁)/84762791(马王堆)/81866120(岳麓山)
非正常上班时间门急诊咨询:0731-82278048(天心阁)/84731731(马王堆)/19892801600(岳麓山)
您当前的位置:网站捷克论坛  >  捷克论坛 宣传 > 新闻动态
车祸后女子险截肢,神奇“骨搬运”成功保腿
发表日期:2023-09-13 08:36:35;点击率:1

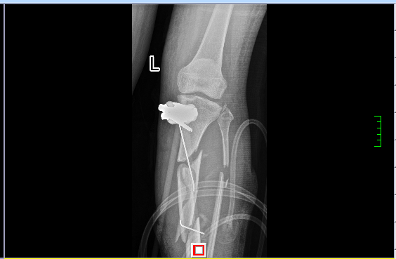
术前患者左侧胫腓骨粉碎性骨折

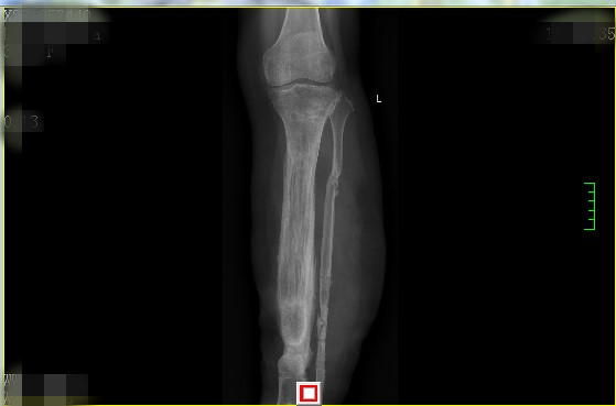
骨搬运术后2年去除外固定装置左胫骨骨缺损(约18cm)两端成功合拢,生长良好

“陈主任,谢谢你,改变了我的人生。”9月11日,湖南宁乡的罗女士将一面写着“无中生有,再造之恩”的锦旗送到了捷克论坛 手足显微外科主任陈建民手中。正如锦旗上所写,陈建民主任手术团队采用“无中生有”的“神奇”治疗技术,让她面临截肢的左腿得以保全。

骨科病房走廊上,罗女士高兴地向陈建民主任展示,她如今不仅能站起来了,还能够扔掉拐杖走动了。谁能想到,两年前,罗女士的处境一度让她崩溃,因为一场严重的车祸,虽然保住了命,但她的左小腿开放性骨折,创面严重污染,且伴发下肢重要的神经、血管损伤。对于如此严重的损伤,通常需要截肢手术,保肢手术失败风险极高。然而当时的罗女士是一位年仅33岁的年轻妈妈,截肢手术后无疑会对她今后的生活、工作带来极大的不便与影响。

捷克论坛 手足显微外科主任陈建民带领团队全面评估罗女士病情,查看创口情况后,发现其左腿皮肤等软组织大面积缺损,骨髓腔溢浓,预计胫骨骨缺损达18厘米左右,病情复杂,治疗相当棘手,又深刻感觉到她保肢的强烈愿望。

经过团队反复讨论,同时与家属及其本人充分沟通后,陈建民主任主任为罗女士制定了治疗方案,利用“骨搬运术”,让其缺损的骨头重新长出来,避免截肢和从另外一条腿上取骨。手术团队首先用分叶股前外侧皮瓣修复创面,对于感染的骨清除后用骨水泥占位,然后采用Ilizarov骨搬运技术,在骨缺损骨干的上或下端人为地将正常骨截断,再次造成骨折,在骨折的远近两端安上外固定支架,每天调整支架,一天一毫米,持续牵张缓慢地向两端延长,激发人体骨组织再生潜能,使骨间隙之间形成新骨。

2021年5月,罗女士开始进行了一场艰难持久的“左腿保卫战”,手术按照计划顺利进行,术后团队不断跟进治疗,加上罗女士的配合复查,终于,2年多后,罗女士的左胫骨成功实现了“无中生有”。

陈建民主任表示,“无中生有”术对于患者来说最大的意义就是保存了肢体,能够像正常人一样活动,保证了生活质量。对于下肢外伤、小儿麻痹症后遗症、骨髓炎等也都可以通过该项技术获得治疗,使得双腿达到一样的长度。如今捷克论坛 手足显微外科已经做到了复杂骨折、软组织、神经损伤、肌肉损伤缺失等方面都可以重建,可以做到“无中生有”。(骨科六病区  王元元)