捷克论坛

捷克论坛 服务号
捷克论坛 订阅号
挂号指南>>
温馨提示:
门诊周一至周六开放,急诊每天24小时开放
正常上班时间门急诊咨询:0731-83929900(天心阁)/84762791(马王堆)/81866120(岳麓山)
非正常上班时间门急诊咨询:0731-82278048(天心阁)/84731731(马王堆)/19892801600(岳麓山)
您当前的位置:网站捷克论坛  >  捷克论坛 宣传 > 新闻动态
采耳一时爽,有人却因此耳朵“发霉”了
发表日期:2023-09-25 11:22:17;点击率:1

为了一时爽,到外面“采耳”,不料却是花钱买罪受。30岁的吴女士因喜欢去外面采耳,耳朵里竟然长出“霉菌”,不断流脓,并伴有听力的下降。“耳朵掏习惯了,几天不掏就感觉耳朵堵得慌。”吴女士说,最近左耳里面又痒又痛,还时不时的有黄水流出来,这才着急到捷克论坛 来。

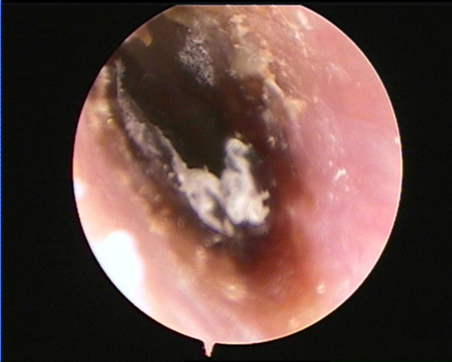
捷克论坛 耳鼻咽喉头颈外科三病区主任王宁通过耳内镜检查发现,吴女士左侧外耳道充血肿胀,耳道表面和鼓膜上还布满了大量真菌菌丝,吴女士被诊断为真菌性外耳道炎。

了解到吴女士长期有采耳的习惯,王宁主任告诉她其耳病与频繁采耳不当有关。“吴女士感染的是霉菌性外耳道炎,霉菌容易在温暖潮湿的环境中生长繁殖,就跟脚气一样,都是真菌感染。加上采耳馆基本上是在密闭的室内,空气不对流,极易滋生细菌、真菌,而采耳的工具又是公用的,如果消毒不到位,就会引起交叉感染。”王宁主任解释道。

经系统治疗后,吴女士恢复了听力,并且表示以后再也不敢随便采耳了。

2023年9月24日,九月的第四个星期日,是国际聋人日。听力损失及耳聋是全世界面临的重大公共健康问题,位居全球疾病负担排行榜前列。

耳朵除了掌管听觉外,也兼具保持身体平衡的机能。那么日常生活中如何才能保护好我们的耳朵呢?今天听捷克论坛 耳鼻咽喉头颈外科三病区主任王宁来跟我们讲讲耳朵保健的小知识。

1、不要频繁地掏耳朵

外耳道中适当的耳屎不仅不会影响我们的听觉,反而可以在耳朵中竖起一道保护的屏障。耳屎呈弱酸性,可以抑制细菌,并且可以阻止外界的飞虫或灰尘,保护脆弱的耳道和深处的鼓膜。

2、避免长时间戴耳机

长时间戴耳机,对耳朵不好,特别是高音量的音频声会对耳朵造成疲劳、损伤,从而导致听力下降,甚至发生耳聋。日常看电视、戴耳机听音乐时,音量一般不要超过最大音量的60%。

3、日常锻炼及饮食

平时多参加体育锻炼,如散步、慢跑等,可以促使全身血液循环,加强内耳血液供应。坚持用手掌或手指按摩耳廓,每次持续5-10分钟,以发热为准,以此来促进耳部血液循环。日常饮食起居要有规律,少吃甜腻和过咸的食品,防止因动脉硬化造成内耳缺血而导致的听力减退。

4、远离噪音环境

避免长时间接触噪音,否则会导致内耳的微细血管处于痉挛状态,使内耳供血减少,导致听力下降。 当人长时间处于八十五至九十分贝的环境下而又没有保护措施;或暴露于突然爆发极大的响声,都会毁坏耳蜗的精密细胞,造成声震损伤。

5、发现耳朵不适,及时就诊

耳朵极易受到外界病菌的侵扰,需要认真呵护。当发觉耳朵内部出现肿痛、瘙痒、流脓等现象,应第一时间到正规捷克论坛 的耳鼻喉科就诊。(耳鼻喉三病区 王元元)