捷克论坛

捷克论坛 服务号
捷克论坛 订阅号
挂号指南>>
温馨提示:
门诊周一至周六开放,急诊每天24小时开放
正常上班时间门急诊咨询:0731-83929900(天心阁)/84762791(马王堆)/81866120(岳麓山)
非正常上班时间门急诊咨询:0731-82278048(天心阁)/84731731(马王堆)/19892801600(岳麓山)
您当前的位置:网站捷克论坛  >  捷克论坛 宣传 > 新闻动态
介入治疗打通生命呼吸“要道”
发表日期:2023-09-28 09:05:41;点击率:1

“呼吸又顺畅了,太感谢你们了!”因气管肿瘤导致重度呼吸困难而入院的李老先生,在捷克论坛 呼吸五病室医护人员为其“打通”气管,植入支架后,终于又能顺利呼吸了。

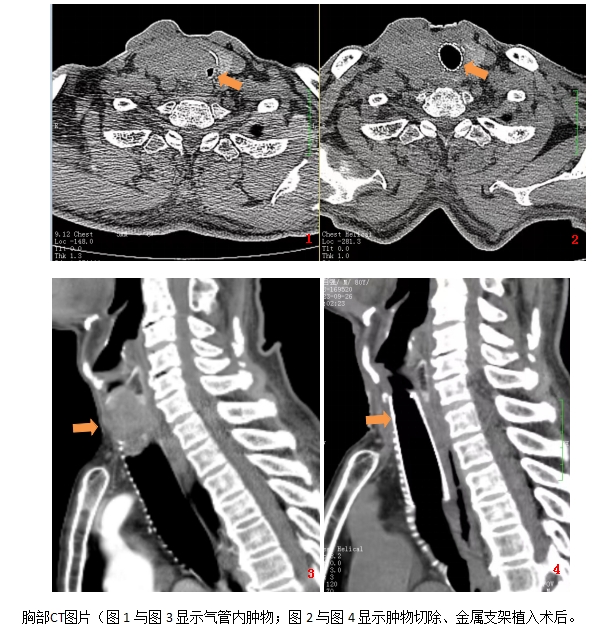
家住长沙80岁李先生,因重度呼吸困难就诊于呼吸五病区经相关检查明确为甲状腺癌长入气管,使气管只剩下一条狭窄的缝隙,引起严重呼吸困难。因已经无法手术,所以支气管镜下切除气管肿物并植入金属支架是缓解病情的首选治疗。但由于患者肿物离声门不到1cm,气管几乎完全堵塞,支气管软镜治疗风险大,且放置的金属支架极易移位。

呼吸五病区副主任罗曼主任医师及重症介入组陈云荣主任医师术前详细讨论手术方案,做好充分准备的前提下9月25日陈云荣介入团队给患者在支气管软镜下进行了介入治疗。手术前,医护团队通过预先放置吸痰管接氧气保证氧合,并在切除气管内大部分肿瘤、植入金属覆膜支架后,用手术缝线把支架固定在气壁上。手术十分顺利,术后患者呼吸困难显著缓解,复查胸部CT支架位置良好无移位,患者及家属感激不尽。

陈云荣主任医师表示,气管内肿物导致恶性中心气道狭窄,通畅气道、改善通气是其首要治疗原则,支气管镜介入治疗可起到快速通畅气道、改善通气、缓解症状,并为后续治疗赢得时间,让患者生命得以延续。呼吸五病区在发展重症特色的同时,积极开展支气管镜下介入治疗,以实际行动践行“护佑生命、守卫健康”的誓言。呼吸五病区 符代炎