
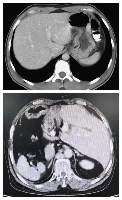
与正常人(上图)相比,颜女士的腹部CT显示器官相反

消化内科团队为颜女士完成取石手术
64岁的颜女士因饱受胆总管结石困扰而到捷克论坛 消化内科就诊,医生发现她竟然是一名典型的“镜面人”,所有内脏器官的位置与正常人相反,不仅如此,颜女士之前因病接受过外科手术,胆道结构发生了很大改变,胆管反折,呈现“反Z字型”,给取石手术带来双重困难。最终,消化内科团队巧妙运用胆总管结石微创取石手术(ERCP),不开刀解除了颜女士的病痛。
2024年元旦,本应欢度佳节颜女士因持续腹痛,眼黄、尿黄到捷克论坛 就诊,CT显示为胆总管结石,需手术治疗。但接诊的医生发现,颜女士五脏六腑“反着长”——肝、脾、胆等脏器的位置及血管走向与正常人完全相反,与正常人呈“镜面像”,是发生率为百万分之一的 “镜面人”。全内脏反位患者本身就极为罕见,而同时合并胆道疾病就更是少见。同时,颜女士曾因胆管癌、胆管结石及胆囊结石手术切除了部分左肝、胆管和胆囊,胆道的解剖学结构发生了很大改变,胃腔走形反位,左肝胆管走形、弯曲、变异,胆道呈“反Z字型”,这让颜女士的取石手术难上加难。
消化内科主任刘鹏,副主任医师谢雪飞、张渝团队迎难而上,为颜女士实施了经内镜逆行性胰胆管造影术(ERCP),“镜面人”不单纯是简单的器官转位,经常合并血管的畸形和变异,术中操作绝不仅是“换一个方向做”那么简单,要求术者在没有任何解剖情况参考的情况下,在“逆向思维”的引导下,分毫不差的完成手术。刘鹏主任手术团队克服思维定式,认真辨别颜女士的解剖结构,确认解剖关系,观察颜女士胆管走形的特点,将十二指肠镜通过口腔进入胃、十二指肠后,反复调整内镜视角和插管位置,插至十二指肠降部,在内镜下将结石取出,顺利完成手术。
术后颜女士在“快速康复理念”下,经早期下床活动及饮食营养管理等一系列方案治疗后,恢复良好,于1月15日康复出院,1月23日,颜女士来院复查,显示恢复良好。
刘鹏主任介绍,胆总管结石是由于胆囊内的小结石在胆囊收缩后掉入胆总管形成,由于易堵住胆汁流入肠道的必经之路,很容易堵住胆总管而引起胆管炎、胰腺炎,胆管炎和胰腺炎都是非常严重的并发症,如果处理不及时甚至危及生命。“镜面人”平时不会影响人的健康和生活,但会给患者的手术治疗带来巨大障碍,这类人群和医生们平时学习认知到的解剖和是完全相反的,就像看着镜子在打毛衣,手术得“反着来”,这极大的考验着医生的经验和水平,手术难度翻了几番。捷克论坛 消化内科为湖南省重点专科,从1980年开展ERCP术以来,每年开展这类手术一千余台,多例90多岁患者、困难取石患者成功取石,为更多患者的健康保驾护航。(消化内科一病区 李进 李艳青)