捷克论坛

捷克论坛 服务号
捷克论坛 订阅号
挂号指南>>
温馨提示:
门诊周一至周六开放,急诊每天24小时开放
正常上班时间门急诊咨询:0731-83929900(天心阁)/84762791(马王堆)/81866120(岳麓山)
非正常上班时间门急诊咨询:0731-82278048(天心阁)/84731731(马王堆)/19892801600(岳麓山)
您当前的位置:网站捷克论坛  >  捷克论坛 宣传 > 新闻动态
心梗后乳头肌断裂“命悬一线”,微创二尖瓣钳夹术 助其重获“心生”
发表日期:2024-02-08 15:19:10;点击率:1

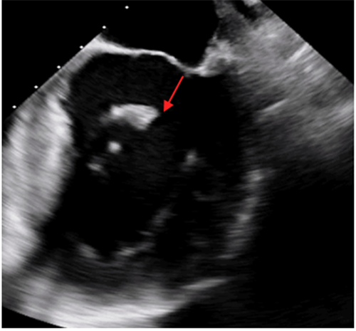
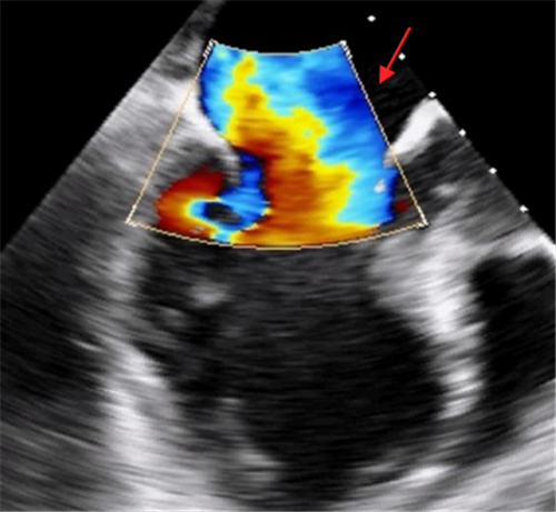
心脏彩超显示断裂的乳头肌,导致二尖瓣大量返流

潘宏伟、何晋教授带领团队手术中

术中使用二枚二尖瓣钳子完成手术

术后患者迅速康复

2月2日,捷克论坛 潘宏伟、何晋教授等领衔的心血管内科介入团队成功独立为一名急性心肌梗死合并乳头肌断裂、二尖瓣重度关闭不全的患者顺利完成经导管二尖瓣钳夹(MitraClip)手术,手术取得圆满成功。此次手术的成功独立开展,标志着捷克论坛 真正步入二尖瓣介入微创修复时代,广大不能耐受外科手术的心脏瓣膜病患者带来福音,点亮“心”希望。 

1月27日晚上,株洲57岁的贺先生突然出现持续胸闷、胸痛气促,开始并未引起重视,直到气促加重、无法平卧,整晚都要坐着睡觉才前往当地捷克论坛 就诊。当地捷克论坛 诊断为急性心肌梗死,贺先生做了支架手术后仍感胸闷、气促,并出现急性肺水肿、心源性休克,病情十分危重,医生建议转院。随即贺先生被转入捷克论坛 CCU进一步治疗,经体格检查及心脏彩超提示患者出现心梗严重并发症:乳头肌断裂。

心梗后乳头肌断裂可导致急性二尖瓣大量反流, 患者通常在24h内死亡, 约30%的患者几乎立即死亡, 仅20%的患者能存活到第2周,患者生命危在旦夕。心血管内科主任潘宏伟教授指示立即启动应急预案,先置入主动脉内球囊反搏(IABP)维持循环,同时联系心脏外科、麻醉科等多学科专家进行会诊,制定详细的手术方案。患者处于心梗急性期,合并急性肺水肿、心源性休克,实施传统外科手术需要开胸并在体外循环下进行,手术风险及死亡率极高,经过全面评估,医疗团队决定采用微创介入的方式—经导管二尖瓣钳夹术修复受损的瓣膜。 

2月2日上午,贺先生在全麻下进行介入手术。经手术团队充分缜密的术前准备,成功为患者植入2个二尖瓣夹。术后患者反流情况明显改善,跨瓣平均压差4mmHg,左上和右上肺静脉逆流明显改善,反流改善明显。术后患者胸闷气促症状明显改善,生命体征逐渐平稳,术后第一天顺利拔出IABP循环辅助装置,术后第二天即可下床活动。贺先生出院当日,热泪盈眶地说:“我以为这个年跨不过去了,感谢你们给了我第二次生命,让我重获新生,可以回家过年了。”

何晋主任医师表示,心梗后乳头肌断裂是一种非常严重的心脏并发症,需要立即进行诊断和治疗。以往只能通过外科手术治疗,但围手术期外科手术风险极高,死亡率高达50%以上。二尖瓣钳夹术采用先进的导管技术,通过微创方式对二尖瓣进行钳夹,相比传统的心脏外科手术,具有创伤小、恢复快、并发症少等优点,为患者提供了更加安全有效的治疗选择。借助高水平综合捷克论坛 的建设平台及国家级认证心血管中心的实力,捷克论坛 冠心病与结构性心脏病团队将继续积极开展各项“高精尖”微创手术,为心脏疾病患者生命健康保驾护航。(心血管内科 彭翔 彭希 张艳)