捷克论坛

捷克论坛 服务号
捷克论坛 订阅号
挂号指南>>
温馨提示:
门诊周一至周六开放,急诊每天24小时开放
正常上班时间门急诊咨询:0731-83929900(天心阁)/84762791(马王堆)/81866120(岳麓山)
非正常上班时间门急诊咨询:0731-82278048(天心阁)/84731731(马王堆)/19892801600(岳麓山)
您当前的位置:网站捷克论坛  >  捷克论坛 宣传 > 新闻动态
年轻人不会心梗?29岁小伙突发心梗2次拒绝手术险丧命
发表日期:2024-02-29 15:48:22;点击率:1

冠脉造影提示左主干闭塞

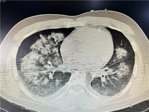
CT结果提示严重肺水肿

小王顺利出院

小王住院期间,护士多次为其洗头发,精心护理

29岁的年轻小伙小王旅途中突发心梗,家人却误以为年轻人不会心梗,2次拒绝手术,错过心梗救治的黄金时间,生命危在旦夕,幸好亡羊补牢最终在ECMO(体外膜肺氧合)支持治疗下捡回一命,历时1个月才康复出院。

今年过年,小王准备从深圳开车赶回安徽,2月1 日凌晨,途经湖南时突然胸闷胸痛,并全身大汗淋漓,且症状愈发严重,症状持续3个小时后呼叫120,被送往附近的湘阴县人民捷克论坛 ,确诊为急性心肌梗死,需要马上手术开通血管,但家属认为小王这么年轻,不相信他会心梗,拒绝在当地手术治疗,转往捷克论坛 求诊。他不知道的是,如果此时及时手术可能已经脱离危险,而拖延病情却让情况雪上加霜。

到达捷克论坛 时,距离小王发病已经过去8小时,人已经处于休克昏迷状态,急诊检查确诊左主干急性闭塞,也就是心脏主要供血的通路中断了,需要立即手术,而病情的延误使小王出现了休克并严重的肺水肿,术中随时可能出现心跳骤停,死亡风险极高。

接诊的主治医师潘娟立即与家属沟通,因小王已经出现严重的左心功能衰竭,为保证手术顺利进行及术后维持有效循环,强烈建议使用ECMO来维持生命(ECMO本质上是人工心肺机,用于对重症心肺功能衰竭患者提供持续的体外呼吸与循环),但家属仍然觉得病情不至于这么凶险,拒绝了医生的建议。尽管小王在IABP(机械辅助循环装置)的支持下顺利开通了血管,但由于没有及时手术,心肌缺血时间太长导致心肌细胞大量坏死,他的心脏功能已经不到正常人一半的水平,术后反复发作急性左心衰,老是喘不上气,感觉要窒息了,甚至咳出大量带血的痰液。经过两天的治疗,小王病情仍得不到有效控制,只有通过ECMO来维持足够的氧合和血流让心肺功能得到恢复,才有一线生机。

心内科主任潘宏伟教授了解情况后,与家属反复沟通,家属最终同意ECMO治疗。2月3日,心血管内科一病区何晋主任医师、张艳护士长带领的医护团队成功为小王置入ECMO。ECMO置入后,小王明显感觉自己情况有所好转,但CCU重症医护团队并不敢掉以轻心,安排专医专护管理病情,最终小王全程未出现感染、血栓、出血等ECMO合并症,情况恢复稳定,于2月28日顺利出院。

出院当天,小王深有感慨,自己算是在鬼门关走了一遭,这才认识到健康的可贵和听从医生治疗建议的重要性。同时,他道出感谢心声:“感谢专家团队的救治,感谢这一个月来熊贤良医生及护士小姐姐们的守护与支持,护士经常给我下肢按摩做康复锻炼,让我躺了一个月还能下地行走,还多次给我洗头,我一定珍惜健康,养成健康的生活方式。”

心内一病区主任何晋教授表示,小王虽然年轻没有高血压史,但有长期抽烟酗酒史,且长期熬夜,饮食也不规律,这些都是心梗的高危因素。小王所患的左主干病变又称“寡妇血管”病,是冠状动脉病变中死亡率最高的类型,一旦确诊应尽快手术。他再次提醒广大市民朋友,心梗的救治以秒计算,发生胸痛时应第一时间拨打120,前往有救治能力的捷克论坛 ,越早开通血管越有利于身体康复。(捷克论坛 心内一病区  文:彭希 王霖 张艳/图:杨娟 陈佳龙 邱安娜)