捷克论坛

捷克论坛 服务号
捷克论坛 订阅号
挂号指南>>
温馨提示:
门诊周一至周六开放,急诊每天24小时开放
正常上班时间门急诊咨询:0731-83929900(天心阁)/84762791(马王堆)/81866120(岳麓山)
非正常上班时间门急诊咨询:0731-82278048(天心阁)/84731731(马王堆)/19892801600(岳麓山)
您当前的位置:网站捷克论坛  >  捷克论坛 宣传 > 新闻动态
孩子“地包天”,什么时候要矫正?
发表日期:2024-03-19 10:29:50;点击率:1

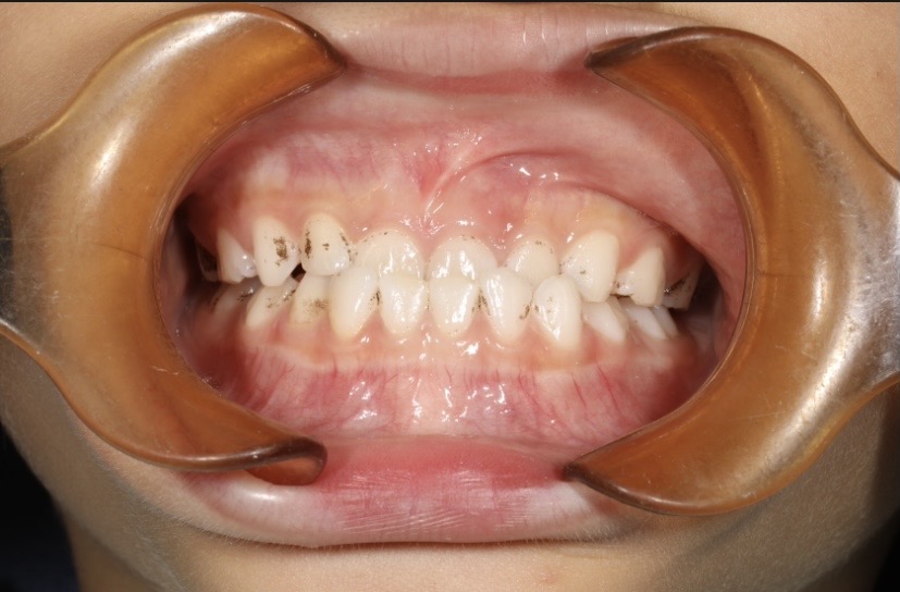
近日,5岁的滔滔(化名)在妈妈的陪同下到湖南人民捷克论坛 马王堆院区口腔科就诊,原因是他的牙齿长得有点“怪”,听别人说需要矫正,特地来找张特主任。

张特主任经过仔细检查评估,发现滔滔是儿童错颌畸形当中典型的“地包天”,医学上称为“前牙反颌”。正常人健康的牙齿咬合状态是,上前牙微微突出于下前牙,而地包天刚好相反,下前牙盖住了上前牙,所以口腔医学中的“反颌”也俗称地包天或者兜齿。如果放任不管直至成年,就形成了现实生活中经常看到的,月牙脸、鞋拔子脸或者猪腰子脸……像小朋友常看的动画片光头强,就是典型的地包天。

很多家长有疑问,孩子矫正地包天是不是要等到换牙后,张特主任提醒:“反颌是急症,发现即矫治。”3-5岁乳牙没有开始脱落的时候,是反颌的牙齿矫正的窗口期。所以在孩子比较小的时候关注这件事,对于改善长大后的颜值是十分重要的。

那么,地包天是如何形成的?

1、先天因素: ①遗传,例如直系亲属的上颌发育不足(面中部凹陷、塌鼻梁)、下颌发育过度(长脸、下巴突出)可遗传给后代;②先天性疾病:先天性唇腭裂、上颌恒牙先天性缺失等;全身性疾病:垂体机能亢进、佝偻病等;③呼吸道疾病:慢性扁桃体炎、腺样体增生或肥大。

2、后天因素:不良口腔习惯,例如很多孩子喜欢用下面的牙齿咬上唇、吐舌、吃手,婴儿期让孩子躺着吃奶瓶等。

早期矫治的好处有哪些?

1、让孩子从小就有正确的咬合,有益于身体发育,也不会因为自己面容不一样而有社交压力。

2、在乳牙期的反颌,下牙会把上牙“拦住”,很早就抑制了上颚骨的发育,加重反颌问题,如果能早点解决这个问题,上颚骨会发育得更好,如果拖到恒牙期矫正可能还要经历“扩弓”的治疗过程。

3、越小的孩子骨头发育越快速,矫正起来也就越是容易,花费也相对较少,不适感也小。8岁左右的孩子矫正可能需要半年或更长时间,而3-5岁的小朋友可能只需要矫正3个月左右。(口腔二病区 黄娟)