捷克论坛

捷克论坛 服务号
捷克论坛 订阅号
挂号指南>>
温馨提示:
门诊周一至周六开放,急诊每天24小时开放
正常上班时间门急诊咨询:0731-83929900(天心阁)/84762791(马王堆)/81866120(岳麓山)
非正常上班时间门急诊咨询:0731-82278048(天心阁)/84731731(马王堆)/19892801600(岳麓山)
您当前的位置:网站捷克论坛  >  捷克论坛 宣传 > 新闻动态
别轻视,这个病会“伪装”!年轻男子胃痛就医却查出心梗
发表日期:2024-04-26 09:15:16;点击率:1

心梗发作时,许多人都会想到胸痛、胸闷、憋气等症状。但是,有的心梗发作时没有典型症状,而是会出现腹痛、恶心等症状。“本来以为就是个普通的胃痛,没想到竟是心梗!”回忆起发病当天的情况,唐先生仍心有余悸。

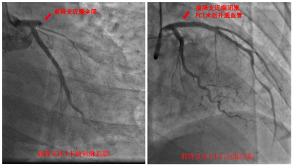
家住长沙的37岁唐先生从事媒体相关工作,生活作息不规律,常年加班熬夜,并喜欢抽烟。半个月前,唐先生因工作较忙,没休息好,一天早上起床后突感胸口、肚子闷痛不适,伴有恶心想吐,以为是胃病发作,自行口服胃药没缓解后,当日晚上来到捷克论坛 马王堆院区就诊。然而经检查发现,其为急性ST段抬高型广泛前壁心肌梗死。因病情危重,在给予唐先生紧急药物处理后,立即进行冠脉造影,提示为心脏供血很重要的冠脉前降支近端开口处完全闭塞。医护团队随即进行冠脉微创介入手术,在开通血管后,患者胸腹部疼痛症状明显缓解。在心内科医护团队数日精心诊疗护理,患者转危为安,目前已顺利出院。

心血管内科五病室主任容志毅介绍,急性心肌梗死是冠心病的高危类型,起病急、病情变化快,死亡率高,是猝死的重要原因。该病好发于男性,多见于50岁以上人群,但近年来心梗发病率年轻化的趋势也值得警惕,45岁以下发病率正逐年上升。近半月科室就接收了三名30多岁的年轻急性心肌梗死患者。

“像唐先生这样,由于发病突然,又伴上腹痛及恶心,很容易自我误诊为胃病发作,而延误救治时机。”容志毅主任表示,心梗最典型的症状是胸部压榨性剧烈疼痛或者有憋闷感,主要在胸部心前区或胸骨后部,通常持续30分钟以上,还会伴随着大汗、腹疼、憋气、心率失常(包括过慢或过快)等症状。但还有部分患者的发病症状会有胃疼、肩膀疼、头疼,甚至牙疼等非典型表现,若出现这些“伪装”症状,要及时就医确诊病因,以免耽误救治时机。

容志毅主任表示,长期大量吸烟、熬夜及高脂高热量饮食是发病重要诱因;如合并高血压、糖尿病等高危因素,长期少动久坐或肥胖人群,也容易诱发急性心肌梗死发生。且多数年轻急性心肌梗死患者,既往无类似症状发作,由于发病突然,更容易诱发严重急性心力衰竭及恶性心律失常,猝死率高。

心梗并不仅是“老年病”,年轻人也不能掉以轻心。容主任提醒,预防心梗应坚持健康的生活方式,戒烟及减少高脂高热量摄入,避免肥胖及熬夜。定期体检,对高血压、高血脂及糖尿病,要早诊早治。合理适度运动,强健自身心肺功能,可以有效降低心梗的风险。(心内科五病区 湛江平 刘显庆