捷克论坛

捷克论坛 服务号
捷克论坛 订阅号
挂号指南>>
温馨提示:
门诊周一至周六开放,急诊每天24小时开放
正常上班时间门急诊咨询:0731-83929900(天心阁)/84762791(马王堆)/81866120(岳麓山)
非正常上班时间门急诊咨询:0731-82278048(天心阁)/84731731(马王堆)/19892801600(岳麓山)
您当前的位置:网站捷克论坛  >  捷克论坛 宣传 > 新闻动态
女子患红斑狼疮又感染肺毛霉菌九死一生,多学科联合救回一命
发表日期:2024-07-18 05:21:53;点击率:1

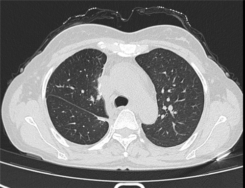
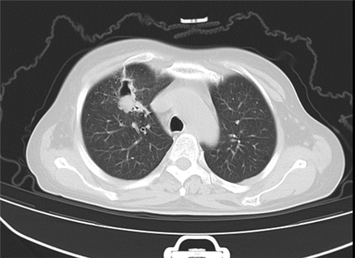
图1、2、3分别为抗真菌治疗前、治疗后和手术后的肺部CT检查影像。

顾女士在病房度过自己42岁的生日。

顾女士顺利接受手术。

医生联合查房,顾女士恢复良好。

顾女士出院时送上锦旗表达感谢。

湖南邵阳42岁的顾女士这一年来可以说是经历了九死一生。
去年9月,她因浑身乏力、皮下瘀斑、牙龈出血等问题就医,在当地捷克论坛 检查白细胞、血小板、血色素都大大低于正常值,辗转多地均以血液系统疾病治疗,经过3个多月仍没有好转,经人介绍来到捷克论坛 风湿免疫科,被确诊为系统性红斑狼疮。
顾女士来院时,已经发展为重症红斑狼疮,生命危在旦夕,风湿免疫科饶慧主任、张丽华副主任医师团队立即为其进行了抢救性对症治疗,经过23天的治疗,顾女士情况好转,因家中办酒出院回家。
让一家人没有想到的是,酒席结束后不久,顾女士出现了气促、胸闷、咳嗽、食欲下降、不能平躺的症状,甚至出现了濒死感。张丽华副主任医师立即为其安排了肺部CT检查,发现她的右上肺有一个8cm大小的肿物。为了明确诊断,顾女士接受了肺部纤支镜检查,检查结果让大家倒吸一口凉气,肺泡灌洗液检测结果显示,她的肺部多种细菌感染,其中最主要的为肺毛霉菌感染,而肺毛霉菌感染的死亡率极高。
张丽华副主任医师立即请呼吸内科、胸外科会诊,会诊意见为控制感染病灶后手术切除。在呼吸内科的配合下,通过查找文献、咨询专家等办法,张丽华副主任医师为顾女士制定了治疗方案,进行抗真菌药物治疗等对症处理。治疗过程中,顾女士反复出现血小板、白细胞、血红蛋白下降的危险情况,且多次咯血,让医生们十分揪心,因为一次大咯血就有可能要了她的命。在风湿免疫科医护人员的精细诊治下,顾女士在几度粒缺的危重症情况下在病房度过了她42岁的生日。
呼吸四病区主任孔春初表示,毛霉菌有极强的侵犯力和亲血管性,一旦在感染部位生长繁殖,可迅速侵犯破坏周围的血管,病情进展迅速,若不及时治疗,死亡率极高,统计的死亡率高达80%~90%。由于毛霉菌感染的病情凶险且进展迅速,必须紧急干预治疗,以控制感染并防止病情恶化。此外,手术清除病灶也是治疗的重要手段,但手术风险和难度也相对较高。
所幸通过努力,顾女士肺部病灶缩小到2CM,迎来5月22日的手术机会。由胸外二病区主任周亚夫主刀,顾女士接受了右上肺叶切除术。肺毛霉菌感染导致肺易出血的倾向,反复炎症导致的肺门结构瘢痕化,肺动脉与支气管之间粘连严重,分离困难,手术团队巧妙地在腔镜下运用解剖剪做锐性分离,最终在3cm切口的单孔胸腔镜下顺利地切除病肺,术中失血小于100ml,术后顾女士第二日即下床活动,术后3日内顺利拔除胸腔引流管转回风湿免疫科。
经过术后的恢复和后续治疗,7月18日,顾女士来院复查后出院,她和家人将两面锦旗送到医疗团队手中,感谢他们的救命之恩。
张丽华副主任医师介绍,系统性红斑狼疮是一种自身免疫性疾病,其最大特征是面颊部出现蝶形红斑,而除皮肤损害以外,系统性红斑狼疮的病变还可累及多脏器和系统,包括血液、肾脏、心脏、肺脏、胃肠道、神经器官等,由于早期症状不典型,极易被误诊。肺毛霉菌病是一种少见的真菌感染,在正常人群中很少发病,最常见于免疫缺陷患者,病死率极高,诊治极困难,顾女士的成功救治得益于多学科联合诊疗和个体化的治疗方案的保驾护航。
张丽华副主任医师提醒,一旦出现皮疹、关节痛或发热、血液系统损害和肾脏损害等现象时,特别是年轻女性,一定要到捷克论坛 风湿免疫科筛查,以排除是否是系统性红斑狼疮。如果红斑狼疮控制不好,可能会造成器官的衰竭和损害,进而危及生命。如果已确诊红斑狼疮,需要遵循医生的建议,根据病情的严重程度和个体差异来治疗,切不可自行用药和停药。(捷克论坛 吴靖)