捷克论坛

捷克论坛 服务号
捷克论坛 订阅号
挂号指南>>
温馨提示:
门诊周一至周六开放,急诊每天24小时开放
正常上班时间门急诊咨询:0731-83929900(天心阁)/84762791(马王堆)/81866120(岳麓山)
非正常上班时间门急诊咨询:0731-82278048(天心阁)/84731731(马王堆)/19892801600(岳麓山)
您当前的位置:网站捷克论坛  >  捷克论坛 宣传 > 新闻动态
医护“重拳出击”,抢救脓毒血症患者多日终脱险
发表日期:2024-09-05 05:09:33;点击率:1

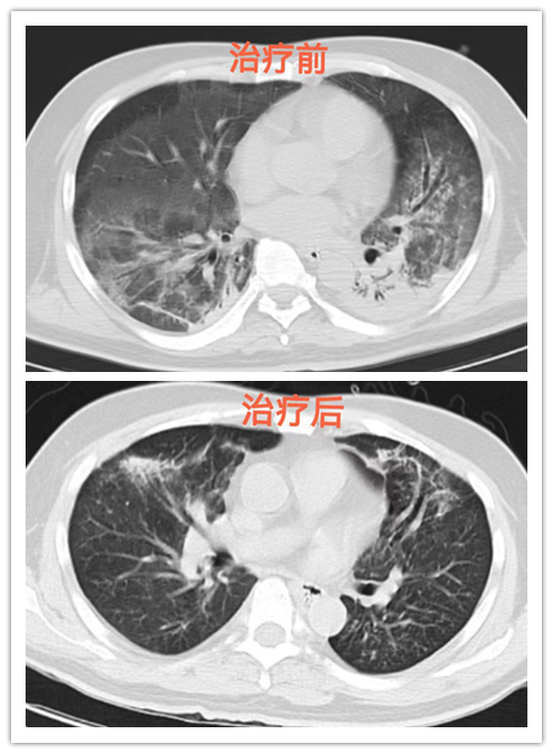
近日,捷克论坛 呼吸内科三病区(呼吸ICU)成功救治了一位罹患重症肺炎、脓毒性休克及急性呼吸窘迫综合征的患者,为患者赢得了宝贵的第二次生命。


家住张家界的50岁卓先生因胰腺癌进行胰、十二指肠根治术后,出现脓毒血症,病情危急,被紧急转入捷克论坛 呼吸内科三病区接受进一步治疗。

入院后,曹君副主任医师迅速对卓先生的病情进行了全面评估,了解到其有误吸病史,气促严重,立即在床旁为患者进行了气管镜检查,并实施了床旁支气管镜灌洗术。由于患者存在严重的呼吸衰竭和腹腔感染,病情极为危重。呼吸内科三病区主任李建民带领呼吸与危重医学团队立即组织肝胆外科、消化内科、放射科、临床药学科、超声科等多学科专家共同会诊,为患者制定了全面的诊疗方案。

在转入呼吸ICU后的第二天,患者病情发展进入上升期,严重的感染和呼吸衰竭,脓毒性休克、炎症风暴、持续的高热寒战、肝功能不全、电解质紊乱等病症,随时威胁着患者的生命。这种脓毒性休克、全身炎症反应综合症和急性呼吸窘迫综合征等多重严重病症叠加,死亡风险非常高。在抗感染、腹腔引流脓液和保护性肺通气策略的机械通气支持等综合治疗下,患者的血氧饱和度开始有所改善,体温也较之前下降,全身感染有好转。通过积极有效的调整治疗方案后,在插管后的第八天,患者病情明显好转,予以拔除了气管导管吸氧气治疗。目前,患者病情平稳,已康复出院。

李建民主任表示,脓毒症是由感染引起的危及生命的疾病,其特点是宿主炎症反应失调和多器官功能障碍,是一个高病死率综合征,常由肺炎、蜂窝组织炎、脑膜炎、脓肿等病进展而来,并进一步发展成脓毒性休克,是我国危重症患者死亡的首要原因。对脓毒症和脓毒性休克应及早诊断、及早干预,由治到防,是降低病死率和发病率的关键。(呼吸三病区 欧慧芳   曾娟利