捷克论坛

捷克论坛 服务号
捷克论坛 订阅号
挂号指南>>
温馨提示:
门诊周一至周六开放,急诊每天24小时开放
正常上班时间门急诊咨询:0731-83929900(天心阁)/84762791(马王堆)/81866120(岳麓山)
非正常上班时间门急诊咨询:0731-82278048(天心阁)/84731731(马王堆)/19892801600(岳麓山)
您当前的位置:网站捷克论坛  >  捷克论坛 宣传 > 新闻动态
高血压难控制?警惕这一被忽略的“常见病”
发表日期:2024-09-23 23:04:47;点击率:1

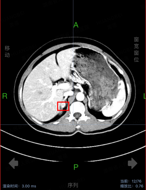
在ct下显示患者右侧肾上腺有一大小约42*30mm的结节


“困扰我多年的顽固性高血压、低血钾终于缓解了,谢谢你们!”32岁的彭先生因患顽固性高血压近5年来一直深受其扰。近日,彭先生在捷克论坛 内分泌专家治疗下明确了病因,最终通过手术治疗使血压恢复正常。

家住长沙的彭先生血压升高5年,反复四肢乏力1年多。入院后通过完善相关检查发现,患者为醛固酮增多症性高血压,还合并了低钾血症,且右侧肾上腺有一大小为42*30mm的结节。通过泌尿外科实施了腹腔镜下右侧肾上腺肿瘤切除,术后复查24小时动态血压达标,血钾也恢复正常。

内分泌科主任张弛介绍,人们常说的高血压一般是指原发性高血压。这类高血压不是由某个疾病引起,而是遗传与不健康生活方式比如钠摄入多、长期大量饮酒、肥胖、作息不规律等共同作用的结果。但临床中也有10%左右的高血压是某些疾病引起的,称为继发性高血压。而患者彭先生就是没有明确病因,对症治疗,才导致的血压升高。

与原发性高血压不同,继发性高血压是由某种疾病或病理、生理状态导致的,包括内分泌系统、肾脏疾病等因素,高血压只是这种疾病的一种表现。若患者能尽早得到对原发病的明确诊断接受规范化的治疗,将会很大程度上降低血压水平、减轻对重要靶器官的损伤、改善预后并提高患者的生活质量。

张弛主任介绍,原发性醛固酮增多症(简称原醛症)是肾上腺皮质分泌过量的醛固酮激素,引起以高血压、低血钾、低血浆肾素活性和碱中毒为主要表现的临床综合征。主要表现为高血压和低血钾。该病是年轻人高血压和难治性高血压的常见原因。

实际上,原醛症是一种被忽略的常见病,其在高血压人群中的患病率高达5%-10%。不仅患病率高,且危害严重,原醛症患者的心、脑、肾脏等靶器官损伤较原发性高血压患者也显著增加。但由于大部分患者未接受及时筛查,易被漏诊误诊。

原醛症病因主要包括单侧肾上腺病变(即单侧原醛)和双侧肾上腺病变(即双侧原醛),单侧原醛症首选手术治疗,又称为“可通过手术治愈的原醛症”,经过手术治疗后,80%的患者血压和电解质紊乱可以得到改善,而双侧原醛则首选药物治疗。

张弛主任提醒,如果患者年轻发病、血压难以控制,特别是合并低血钾时,应当警惕继发性高血压的存在。高血压伴随低血钾可能是潜在内分泌疾病的预警信号,需及时对疾病进行鉴别诊断,发现真正病因,针对性治疗,以及早摆脱高血压对身体带来的危害。(内分泌科一病区  黄蓓