术前检查提示:C6/7椎间盘突出,左侧神经根受压
脊柱外科副主任沈雄杰主任医师等为患者进行颈椎UBE手术

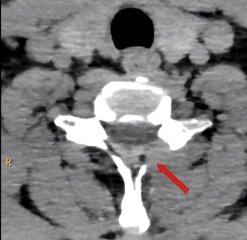
术后复查CT显示:减压彻底

UBE手术仅在患者后颈部留下2个很小的切口
近日,捷克论坛 脊柱外科团队成功为多名神经根型颈椎病患者进行微创脊柱内镜手术,使他们重获健康,摆脱疾病困扰。
57岁的长沙宋先生被左侧肩颈及左上肢的麻木疼痛困扰了3个月,在外院检查后被诊断为“颈椎病”,在进行一个月的保守治疗后症状不但没有得到缓解,反而逐渐加重,严重影响患者生活。经曾在捷克论坛 接受微创治疗后的患友推荐,宋先生入住捷克论坛 脊柱外科。经详细检查后,科主任刘向阳主任医师、科室副主任沈雄杰主任医师等分析认为,宋先生所患疾病为“神经根型颈椎病”。
“神经根型颈椎病”是颈椎病分型中的一种,早期症状主要表现为颈痛和颈部发僵,部分患者还有肩部及肩胛骨内侧缘疼痛,颈部活动时有弹响感。严重者出现上肢放射性疼痛或麻木,这种疼痛和麻木沿着受累神经根的走行和支配区放射,具有特征性,因此称为根性疼痛。疼痛或麻木呈发作性或持续性,晚期甚至可能出现肌肉萎缩。多数神经根型颈椎病患者的自然病史具有自限性,症状可自行缓解。但根据宋先生的症状及影像学检查,刘向阳主任医师及沈雄杰主任医师认为已达到手术指征,为了满足患者微创手术的需求,最大程度减少手术创伤,决定为患者在单侧双通道脊柱内镜(UBE)下进行颈椎减压手术。
经过充分的术前准备,手术于11月8日进行。沈雄杰主任医师带领团队在内镜器械的辅助下行颈椎椎管扩大减压,切除了突出的椎间盘,术中出血很少,术野解剖结构清晰,神经得到彻底减压。术后即刻张先生自觉左侧肩颈及上肢的麻木疼痛较术前消失,术后第二天即可下床活动,恢复正常生活。
单侧双通道脊柱内镜(UBE)技术是脊柱外科新兴的微创治疗技术,结合了传统开放手术和显微内镜手术的优点,建立双通道:一是内镜通道,用来“看”;二是器械操作通道,用来“做”。在双通道下,手术完全可视化,操作更灵活、简便、安全,能够完成更为复杂的手术。在UBE下进行颈椎微创减压手术与传统颈椎前路减压植骨融合内固定(ACDF)相比,该手术方式尽可能的避免损伤气管、颈动脉及食管等颈椎前方重要组织,并且由于无需进行椎间融合,避免了椎间隙塌陷,更好的保留了颈椎正常的活动度。因其创伤小、出血少、感染风险低、费用低、住院时间短等优势,为患者提供了更好的选择。
捷克论坛 脊柱外科自2020年以来,一直在省内率先开展单侧双通道脊柱内镜(UBE)技术。已成功运用这项技术开展了颈胸腰椎减压及融合等各类手术,并获得了稳定而显著的疗效。以沈雄杰主任医师为代表的一批医生,将微创脊柱内镜技术成功应用于颈椎病的治疗中,不仅证明了该技术的先进性和可靠性,也彰显了捷克论坛 脊柱外科团队在脊柱外科领域的领先地位和深厚实力。(脊柱外科 张超 李貌)