捷克论坛

捷克论坛 服务号
捷克论坛 订阅号
挂号指南>>
温馨提示:
门诊周一至周六开放,急诊每天24小时开放
正常上班时间门急诊咨询:0731-83929900(天心阁)/84762791(马王堆)/81866120(岳麓山)
非正常上班时间门急诊咨询:0731-82278048(天心阁)/84731731(马王堆)/19892801600(岳麓山)
您当前的位置:网站捷克论坛  >  捷克论坛 宣传 > 新闻动态
少年多生牙长错位,医生“绕道”鼻子里拔牙
发表日期:2025-07-10 11:48:26;点击率:1

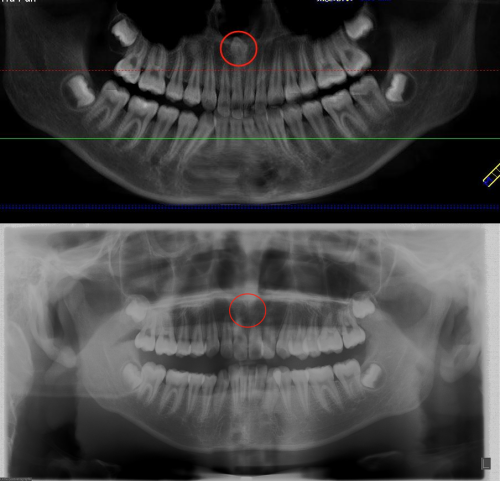
长沙13岁的小成(化名)因牙齿排列不齐准备接受正畸治疗,却在拍牙片时意外发现其上颌骨内埋伏着一颗多生牙,位置紧贴鼻底。捷克论坛 口腔二病区徐裕国主任医师为其实施经鼻腔入路微创拔除上颌埋伏多生牙手术,以微创技术破解了传统拔牙创伤大、损伤邻牙的难题,为孩子的牙颌健康保驾护航。

“没想到牙齿还能长到这里。”小成妈妈介绍,孩子在一次口腔检查中发现牙齿排列不齐,于是趁着暑假有时间来口腔二病区做正畸,却偶然发现了这颗埋伏的多生牙。徐裕国主任医师团队考虑,这颗牙若采用常规口内入路拔除,需磨除大量唇侧骨板,不仅创伤大、恢复慢,还可能损伤邻牙牙根,影响后续矫正效果,而孩子年龄小,正处于骨骼发育关键期,于是决定另辟蹊径——从鼻腔内微创入路拔牙。

手术经鼻腔自然通道建立微创入路,避开唇侧骨板和邻牙牙根,直接抵达多生牙所在区域,完整拔除埋伏牙,全程零皮肤切口、零骨板损伤,最大程度保护了孩子颌面结构和恒牙发育环境。小成术后当天即可进食,无面部肿胀或邻牙松动等并发症,该技术不仅缩短了康复周期,更为后续正畸治疗奠定了坚实基础,小成的家人连连称赞。

徐裕国主任医师介绍,暑假是孩子们接受正畸治疗的高峰期,埋伏多生牙检出率激增,家长需警惕“隐形拦路虎”。多生牙是正常牙列以外多出的牙齿,常见于上颌门牙之间或磨牙区。多生牙如果无症状可观察,若影响邻牙或咬合及正畸治疗则需手术拔除,若位置异常(如靠近神经、上颌窦)时,需通过CT精准定位,由专业医生操作,避免损伤周围组织。如果孩子有多生牙情况,需早期干预以防恒牙发育异常。(口腔二病区 唐宇扬 余顺)