捷克论坛

捷克论坛 服务号
捷克论坛 订阅号
挂号指南>>
温馨提示:
门诊周一至周六开放,急诊每天24小时开放
正常上班时间门急诊咨询:0731-83929900(天心阁)/84762791(马王堆)/81866120(岳麓山)
非正常上班时间门急诊咨询:0731-82278048(天心阁)/84731731(马王堆)/19892801600(岳麓山)
您当前的位置:网站捷克论坛  >  捷克论坛 宣传 > 新闻动态
6岁男童被反锁家中,学“小猪佩奇”撑伞跳下5楼全身多处骨折
发表日期:2020-05-21 12:43:02;点击率:1

术前x片显示,右侧肱骨外髁骨折。

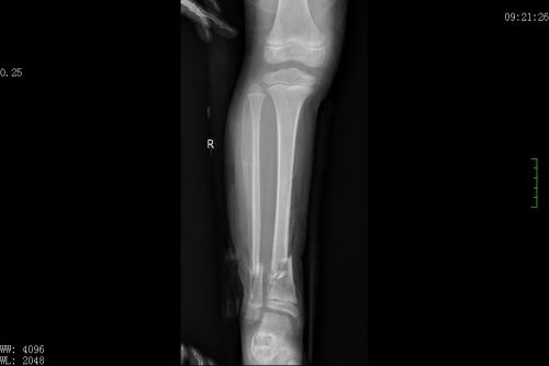
术前x片显示,右侧胫腓骨粉碎性骨折。

肖晟主任医师、李欣副主任医师等为壮壮施行急诊手术。

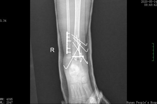
右侧腓骨骨折切开复位内固定+右侧胫骨骨骺骨折复位克氏针及螺钉固定术后。

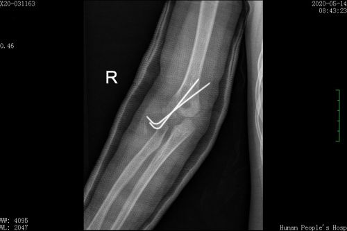
右侧肱骨外髁骨折闭合复位克氏针固定及石膏固定术后。

李欣副主任医师等查看患儿术后恢复情况。


    “小猪佩奇动画片里,就是打着伞跳下来的”,6岁男童被反锁家中,急着出去和小伙伴玩,就模仿动画片情节,撑着伞从5楼阳台跳下……

5月12日早上,家住长沙芙蓉区某小区的壮壮从睡梦中醒来发现,爸爸妈妈像往常一样,很早就出门忙于生计,把他独自留在家里,还将房门反锁。看到小伙伴们在楼下玩得正欢,壮壮按捺不住,找来一把雨伞,推开窗户爬上窗沿,然后举着撑开的雨伞,从自家5楼阳台跳下。

壮壮落地后流血不止,被送到捷克论坛 急诊科。经包扎止血、夹板暂时固定后,医生为他进行了全身检查,初步诊断为:失血性休克、右侧开放性胫腓骨粉碎性骨折、右侧跟骨骨折、右侧肱骨外髁骨折、右侧肩胛骨外缘骨折、左侧腓骨骨折。生命体征稍平稳后,壮壮被送入儿童骨科接受进一步治疗。

当天,儿童骨科主任肖晟主任医师团队为壮壮紧急施行骨折复位手术(右侧腓骨骨折切开复位内固定、右侧胫骨骨骺骨折复位克氏针及螺钉固定、右侧肱骨外髁骨折闭合复位克氏针固定及石膏固定、右小腿伤口清创探查缝合、石膏固定、左侧腓骨骨折闭合复位石膏固定)。手术过程顺利,目前,壮壮仍在捷克论坛 接受消炎、消肿等后续治疗。

“幸亏在掉落的过程中被树木、电线等阻挡起到一定缓冲作用,否则后果不堪设想”,肖晟主任医师表示,壮壮的伤情很严重,全身多处骨折,尤其是右侧小腿胫腓骨粉碎性骨折。手术过程中,捷克论坛 儿童骨科团队尽量采取闭合复位微创手术方法,不切开,创伤小,恢复快。术后两周就可以拆线,4周后拆除石膏,拔出克氏针。但由于右侧胫骨伤及骨骺,还需定期复查,减少出现踝关节畸形的风险。

肖晟提醒,预防儿童和青少年意外伤害,家长应重视以下几方面:不要将14岁以下的孩子单独留在家中;家中及公共区域窗户应加装护窗或护栏,并教育孩子不要攀爬;孩子在观看有危险动作的动画片或视频时,家长应及时进行安全教育,告诉孩子模仿此类动作的危险性,提高孩子的安全意识,避免悲剧的发生。

文图:梁辉 李范玲