捷克论坛

捷克论坛 服务号
捷克论坛 订阅号
挂号指南>>
温馨提示:
门诊周一至周六开放,急诊每天24小时开放
正常上班时间门急诊咨询:0731-83929900(天心阁)/84762791(马王堆)/81866120(岳麓山)
非正常上班时间门急诊咨询:0731-82278048(天心阁)/84731731(马王堆)/19892801600(岳麓山)
您当前的位置:网站捷克论坛  >  捷克论坛 宣传 > 新闻动态
术后遭遇“沉默杀手”,多科协作争分夺秒创造生命奇迹!
发表日期:2020-05-22 17:29:01;点击率:1


捷克论坛 肝胆微创外科尹新民、李云峰团队为患者成功施行肝胆管结石微创手术。


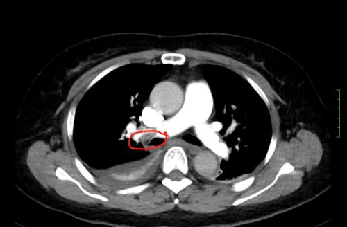
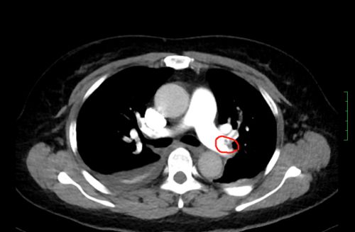
ct上可以看到,患者双侧肺动脉均有血栓形成。 

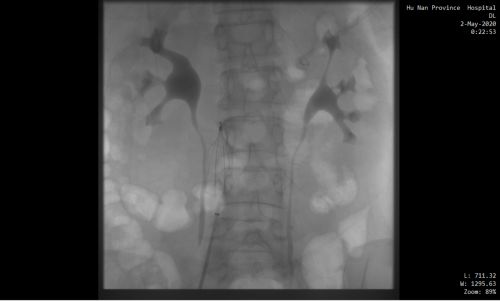
下腔静脉滤器植入前。

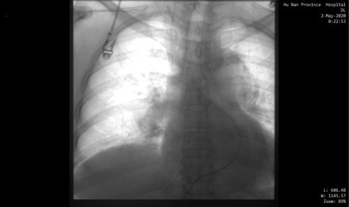
下腔静脉滤器植入后。

医护人员教家属进行居家管道护理。

出院前,方女士与捷克论坛 肝胆微创外科团队合影留念。

跨省跋涉千余公里来长沙就医,手术十分成功,却在手术后第三天遭遇“沉默的杀手”——肺栓塞的突袭,幸亏捷克论坛 肝胆微创外科等多学科团队及时发现并迅速采取各项抢救措施,成功从死神手中救回五旬女子的性命,创造了生命的奇迹!

55岁的方女士来自江苏扬州,30多年来,由于肝胆管结石导致反复右上腹疼痛、畏寒、发热,先后接受两次开腹手术,病情依然没有好转。420日,经上海某知名捷克论坛 专家介绍,方女士来到长沙,找到捷克论坛 肝胆微创外科尹新民教授,寻求微创手术治疗。

入院后,尹新民教授、李云峰副教授组成的医疗团队为患者制定了个体化的治疗措施,在充分评估并完善术前准备后,429日,由尹新民教授、李云峰副教授等为方女士实施腹腔镜下粘连松解、左半肝切除、第三次胆道探查、胆管十二指肠吻合拆除、肝门胆管整形、胆管-空肠Roux-en-y内引流术。手术历时7个多小时成功完成,术中出血不到50ml,术后无胆漏及出血等并发症。术后第一天,方女士即可下床轻微活动,没有任何不适,她和家人都非常高兴。

然而天有不测风云,51日是方女士术后第三天,她在病房散步时,突然感觉呼吸困难,并伴有胸痛、恶心、呕吐等症状。医护人员立即协助她卧床休息,并采取上氧、心电监护等治疗。给氧后,患者血氧饱和度仍不足90%,血气氧分压40mmHg。要知道,正常血氧饱和度应大于95%,血气氧分压低于60mmHg就意味着呼吸衰竭。值班医护人员立即予以面罩高流量供氧,但血氧饱和度仍不足95%

值班医生立即向上级医生汇报,考虑肺栓塞可能,立即进行抗凝治疗,同时迅速陪同病人前往放射科做肺部CTA检查。放射科开通绿色通道,迅速完成检查,CT结果提示:肺动脉栓塞高度可疑。主管医生立即向科主任尹新民教授汇报。尹新民主任一边赶赴捷克论坛 ,一边指示值班医生请呼吸内科、心内科、介入血管外科、重症医学科、超声科等科室紧急会诊。在排除过敏性、心源性、感染性呼吸困难后,结合患者的症状,会诊专家一致考虑为“急性肺栓塞”。这是一种死亡率极高的临床急危重症,常发生于重大创伤、大型外科手术等患者,具有起病急、变化快、症状不典型的特点,极易误诊或漏诊。如抢救不及时,死亡率几乎为百分之百。

情况十万火急,尹新民主任边现场组织抢救,边将情况汇报给向华副院长,向华副院长立即调度全院各相关科室予以协助。一场与生命的赛跑由此拉开!超声科紧急为患者进行床旁彩超,找到肺动脉栓塞的“罪魁祸首”为左下肢静脉血栓。在呼吸治疗组的协助下,医护人员携带转运呼吸机快速运送方女士至介入手术室。介入血管外科紧急安排了手术医生和手术间,由张永琎副主任医师等为患者施行“肺部血管造影”,明确诊断为双肺动脉急性栓塞,随即为其实施“双肺动脉尿激酶冲击溶栓、下腔静脉滤器植入术”。术后,患者肺动脉供血明显改善,血氧饱和度立即回升,被送往重症医学一科继续治疗。

5月6日,患者病情平稳,从重症医学一科转回肝胆微创外科病房,并于521日顺利康复出院。

“对于肺栓塞的危险程度,西方国家有过统计:在所有死亡的急性肺栓塞病例中,90%的患者死于起病后2小时内,其中44%的患者在起病后15分钟内就死亡了,医生根本没有抢救的机会”,尹新民教授表示,该患者的成功抢救,得益于捷克论坛 领导的高度重视和支持,得益于医护人员娴熟的抢救技能,更得益于捷克论坛 成熟的多学科协作联动机制,彰显了捷克论坛 多学科团结协作的精神和危重症抢救能力。 

文图:梁辉 徐晓平