捷克论坛

捷克论坛 服务号
捷克论坛 订阅号
挂号指南>>
温馨提示:
门诊周一至周六开放,急诊每天24小时开放
正常上班时间门急诊咨询:0731-83929900(天心阁)/84762791(马王堆)/81866120(岳麓山)
非正常上班时间门急诊咨询:0731-82278048(天心阁)/84731731(马王堆)/19892801600(岳麓山)
您当前的位置:网站捷克论坛  >  捷克论坛 宣传 > 新闻动态
结直肠癌肝转移“腹部无痕”肠肝同时R0切除,攀登技术高峰造福广大患者
发表日期:2020-06-30 12:05:08;点击率:1

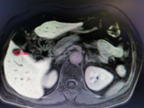
乙状结肠肿瘤

肝转移瘤

日前,捷克论坛 结直肠肛门外科成功为多名结直肠癌患者施行腹腔镜结直肠癌NOSES手术(经自然腔道取标本,腹壁无切口),手术过程顺利,术后患者恢复良好,住院时间短。

来自湖南桑植县的周女士今年65岁,3个月前开始出现间断便血不适。在当地捷克论坛 行腹部CT及肠镜活检后,考虑“乙状结肠腺上皮重度非典型增生”,建议转院进一步治疗。多方打听得知省人民捷克论坛 结直肠肛门外科对结直肠复杂肿瘤诊治有成熟的经验后,周女士找到科主任肖志刚,随即被收入院。

通过多项检查诊断技术全面评估肿瘤部位及患者全身状况, CTMRI(普美显)提示患者乙状结肠癌并肝脏寡转移瘤,结直肠肛门外科、肝胆外科、放射科、肿瘤科、病理科开展晚期结直肠癌MDT讨论认为,患者乙状结肠癌肝转移合并不完全性肠梗阻,暂不适合术前新辅助化疗,有乙状结肠癌和肝转移瘤同时R0切除手术机会,但同时切除手术难度及风险增加。

在与患者及家属充分沟通交流后,为患者制定术前处理、手术切除、术中监测、术后治疗和康复方案,由肖志刚主任团队施行目前结直肠癌专科最微创的手术方式——腹腔镜下乙状结肠癌根治性切除+S5段转移瘤切除,经阴道取出标本的NOSES手术(腹壁切口<1cm)。术中请肝胆外科杨建辉副主任医师同台行肝S5段转移瘤切除。手术过程顺利,患者术后无伤口疼痛,术后第1天下床活动,术后第2天肛门排气,第3天排便并恢复流质饮食,第6天复查CT腹腔干净并拔除腹腔引流管,第8天康复出院,电话随访患者状态良好。

目前,腹腔镜结直肠癌NOSES手术是手术治疗结直肠癌的前沿术式,国内外顶级捷克论坛 都在积极开展。该术式进一步减轻患者的创伤,缩短患者术后恢复时间,以利于术后化疗等进一步治疗的尽早开展。

近年,捷克论坛 结直肠肛门外科在学科顾问黄忠诚教授、科主任肖志刚教授等带领下,陆续开展系列结直肠肿瘤NOSES术。患者术后腹部无大手术切口,疼痛减少,术后恢复好,住院时间短,造福广大患者。(结直肠肛门外科通讯员:高泰龙)