捷克论坛

捷克论坛 服务号
捷克论坛 订阅号
挂号指南>>
温馨提示:
门诊周一至周六开放,急诊每天24小时开放
正常上班时间门急诊咨询:0731-83929900(天心阁)/84762791(马王堆)/81866120(岳麓山)
非正常上班时间门急诊咨询:0731-82278048(天心阁)/84731731(马王堆)/19892801600(岳麓山)
您当前的位置:网站捷克论坛  >  捷克论坛 宣传 > 新闻动态
多科协作多器官联合切除,晚期结肠癌患者再获生机
发表日期:2020-06-30 12:06:33;点击率:1

ct提示肿瘤复发部位。

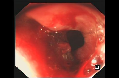
胃肠镜提示:肿瘤已侵入十二指肠腔内并导致肠腔狭窄。

三位科主任同台配合。

患者出院时赠送锦旗


近日,捷克论坛 多学科联合,成功为一位局部复发的结直肠癌患者实施多器官联合切除手术,为患者搏得一线生机。

湖南临湘的李先生今年51岁,一年前曾因升结肠癌做了右半结肠癌根治手术,并接受为期半年的化疗。可在一次常规复查中发现,其右肾前方新发一个病灶,高度怀疑为局部复发。虽然更改了多次化疗方案,但似乎每种药物对肿瘤都没太大作用,肿瘤还在不断增大,并累及十二指肠。

咨询过多家捷克论坛 ,都建议李先生放弃治疗,于是抱着最后一丝希望,来到捷克论坛 结直肠肛门就诊。肖志刚主任详细了解病情后认为,虽然患者复发的肿瘤侵犯了十二指肠及右肾,但好在其他脏器没有转移,有再次手术的机会。

病人虽然有强烈的手术意愿,但肖志刚主任团队并没有大意,毕竟这是一个超高难度的手术,涉及多个脏器的联合切除(十二指肠、右肾、胆囊、胰腺、胃、小肠),考验多学科间的密切配合。

在积极完善相关术前检查后,肖志刚主任组织科内讨论、多学科会诊(MDT)及全院会诊,大家提出的宝贵意见和建议为团队增强了手术成功的信心。在医务部的协调和学科顾问黄忠诚教授的指导下,由结直肠肛门外科肖志刚主任、胰脾外科成伟主任和泌尿外科李远伟主任组成的菁英团队为患者施行手术。三位大咖完美配合,克服腹腔粘连较重、组织结构显露不清等重重困难,避开门静脉损伤、腔静脉损伤、肠系膜上动静脉损伤等数个“陷阱”,完整切除肿瘤病灶及侵犯的十二指肠、肾脏、胆囊及部分回肠,同时完成胃空肠吻合、胰空肠吻合、胆总管空肠吻合及回肠侧侧吻合等多个消化道重建。整个手术历时不到5个小时,出血不足100ml,堪称完美。 目前,患者已康复出院。

肖志刚主任表示,肠癌患者一旦出现术后复发,基本宣判了“死刑”,很难有再次手术的机会。该患者肿瘤复发的部位非常特殊,需要进行普外科最大的胰十二指肠切除和肾脏切除两个创伤非常大的手术才能彻底切除肿瘤,并发症多且预后存在着很多不确定性因素,对医生的判断能力和技术水平都是极大的考验。该名患者的成功救治是学科协作的成功典范,充分体现了捷克论坛 结直肠肛门外科在结直肠癌综合诊治方面的强大实力,为肿瘤复发患者带来希望。(结直肠肛门外科通讯员:房志学)