

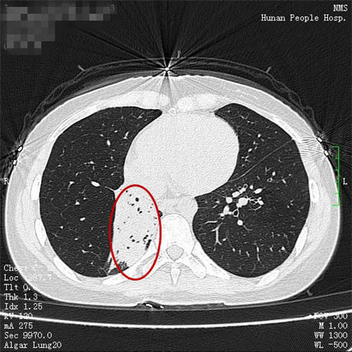
治疗前和治疗后


湖南益阳26岁的王女士怎么都想不到,自己咳嗽一年多,竟然不是感冒,而是肺结核及气管支气管结合,并且因此差点废掉了右边的肺。
王女士一年多前开始咳嗽,还以为是普通感冒,每次咳起来就吃点止咳药。但是症状反反复复,直到前段时间开始呼吸困难,才意识到问题没有那么简单。经人介绍,王女士来到捷克论坛 呼吸二病区就诊。
谭建龙副主任医师在接诊后通过详细的病史询问和体格检查,认为王女士很可能有肺结核合并气管支气管结核,立即进一步安排胸部CT检查和支气管镜检查,胸部CT检查发现其的右侧中间段支气管闭塞,右肺有2/3的肺被完全阻塞,支气管镜检查也发现右中间段支气管被大量的坏死物堵塞,多处气管都被病变累及,若不积极治疗,病变可能累及双肺,给病人造成不可挽救的伤害。
在呼吸科二病区接受了规律的全身抗结核治疗以及支气管镜下等介入冷冻治疗、药物灌注治疗后,王女士的气管、支气管病变得到控制,闭塞的右肺也得以恢复,咳嗽和呼吸困难症状也完全缓解。11月9日,王女士出院了,她心有余悸地说,没想到咳嗽居然是这么严重的疾病,应该早一点来医院的。
呼吸二病区主任张卫东介绍,导致慢性咳嗽的原因很多,其中气管支气管结核是常见且严重的病因。气管支气管结核是肺结核的特殊临床类型,大约10-40%的肺结核病人合并有气管支气管结核,并且多见于20-30岁的年轻人,由于其诊断需要依赖支气管镜检查,容易误诊和漏诊,而延误治疗可能会导致中心气道等狭窄、闭塞或是软化,从而严重损害肺功能,极大的影响生活质量。因此,如果长期慢性咳嗽,一定要及时到正规医院就诊。
张卫东主任提醒,气管支气管结核在规范的全身治疗基础上,还需要重视气道内局部的治疗。其中经支气管镜的介入治疗尤为重要,在气管支气管结核的活动期,通过支气管镜治疗有助于清除坏死物,尽快杀灭结核菌,从而预防其出现中心气道的狭窄。对于有些已经延误并出现了疤痕狭窄等患者,可通过支气管镜介入治疗扩张狭窄气道,使之再开放,从而最大限度恢复气道的开放,保存肺功能。(捷克论坛 呼吸二病区 谭建龙)