捷克论坛

捷克论坛 服务号
捷克论坛 订阅号
挂号指南>>
温馨提示:
门诊周一至周六开放,急诊每天24小时开放
正常上班时间门急诊咨询:0731-83929900(天心阁)/84762791(马王堆)/81866120(岳麓山)
非正常上班时间门急诊咨询:0731-82278048(天心阁)/84731731(马王堆)/19892801600(岳麓山)
您当前的位置:网站捷克论坛  >  捷克论坛 宣传 > 新闻动态
神奇“小夹子”解高龄老人心病
发表日期:2024-01-18 10:36:30;点击率:1

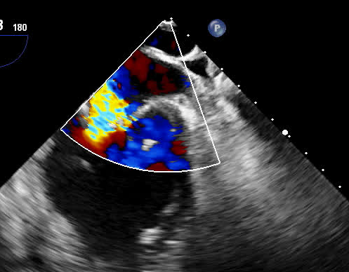
术前二尖瓣大量反流

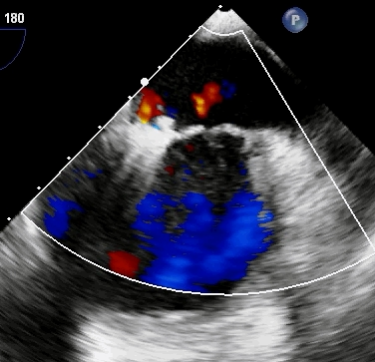
术后微量反流

术中使用二枚二尖瓣钳子完成手术

2024年1月5日,捷克论坛 心血管内科潘宏伟、何晋教授等领衔的心血管内科介入团队成功为一名77岁高龄二尖瓣重度关闭不全的患者完成经导管二尖瓣钳夹(MitraClip)手术。此次手术的成功独立开展,标志着捷克论坛 心血管内科心脏介入救治能力的极大提升。

77岁的彭奶奶经心脏彩超显示二尖瓣大量反流,心脏明显增大,因为呼吸困难辗转多家捷克论坛 就诊,经过抗心衰药物规范治疗后仍不能缓解症状。以往该类患者有两种治疗方式:一是实施传统外科换瓣手术,二是药物保守治疗。但对于高龄、集多种老年疾病于一身的患者,实施外科手术需要开胸并在体外循环下进行,风险极高;药物治疗仅能改善其心衰症状,但治标不治本,会导致心衰反复发作。

术前,科室组织多学科会诊,由心脏大血管外科、心内科、麻醉科等多位专家共同讨论并一致认为,老人二尖瓣病变严重,同时合并有冠心病、心律失常、心功能不全等多种高危因素,已不适用外科手术,在微创下不开胸实施二尖瓣钳夹术是最佳选择。经手术团队充分缜密的术前准备,在超声引导下器械经股静脉穿刺房间隔,将MitraClip系统送入患者左心房,到达二尖瓣反流处,在经食道超声及DSA引导下,术者通过评估二尖瓣反流位置、抓捕位置、反流程度,精准夹合,成功植入2个二尖瓣夹。二尖瓣从术前的大量反流减轻到微量反流,肺静脉的逆流完全消失,血压从偏低恢复到正常状态,第二天即下床,术后第5天顺利出院。

潘宏伟教授介绍,该手术采用先进的导管技术,通过微创方式对二尖瓣进行钳夹,以治疗二尖瓣反流疾病。相比传统的心脏外科手术,微创经导管二尖瓣钳夹手术具有创伤小、恢复快、并发症少等优点,为患者提供了更加安全有效的治疗选择。捷克论坛 心血管内科一直致力于心脏介入治疗技术的发展与创新,目前经导管二尖瓣钳夹手术已完成十例,该手术的独立成功完成,不仅丰富了捷克论坛 在心脏介入治疗领域的经验,也为广大高龄二尖瓣反流患者带来了新的希望。(心内科一病区 彭希 张艳)