

长沙6岁的贝贝前段时间感冒了,有天晚上突然从睡梦中哭醒,直喊耳朵疼,到捷克论坛 马王堆院区耳鼻咽喉头颈外科门诊就诊,被诊断为大疱性鼓膜炎。耳鼻咽喉头颈外科三病区副主任医师杨宁提醒:近期患大疱性鼓膜炎的孩子很多,大多数都是由于病毒性感冒引起,出现相关症状应及时就诊。
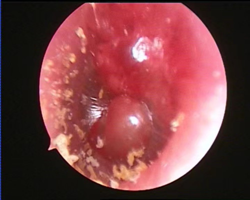
贝贝4天前有鼻塞、流涕、咳嗽等感冒症状,妈妈见孩子精神状态尚好,遂自行在药店买了一些止咳药给孩子吃,昨晚孩子睡着睡着突然哭醒,说耳朵剧痛,这才送贝贝来医院检查。通过耳内镜检查,看到贝贝的右侧鼓膜上长了一个大大的水泡,原来这就是导致贝贝耳朵剧痛的原因所在。
杨宁副主任医师介绍,大疱性鼓膜炎又称出血性大疱性鼓膜炎,其实就是病毒感染引起的鼓膜及外耳道的急性炎症,冬季为高发季节,多发生于小孩和青年,也继发于感冒,属于耳鼻喉的急症,部分小孩还会出现低热、乏力等症状。青年除了突感剧烈耳痛外,可伴随着耳闷胀感或轻度听力障碍,检查可以看见鼓膜及外耳道皮肤充血。
杨宁副主任医师提醒:大疱性鼓膜炎常发生于病毒性上呼吸道急性感染后,近期是病毒性上呼吸道急性感染的高发期,因病毒性感冒导致大疱性鼓膜炎的孩子特别多,如果孩子出现咳嗽、流涕、发热等感冒症状,同时还伴有剧烈耳痛、耳部有液体从外耳道流出或者耳闷胀感等症状,就要及时到耳鼻喉进行耳内镜检查,确定是否为大疱性鼓膜炎。若孩子确诊为大疱性鼓膜炎就需要积极的治疗,如果疼痛较为严重需要进行镇痛药物治疗,口服抗病毒的药物,局部还需要外用滴耳液,选择治疗方法要听从专业医生的意见。(耳鼻咽喉头颈外科三病区 肖莉)